많은 분들이 단순히 치열이 틀어진 건지,
아니면 덧니인 건지 헷갈린다는 말씀을 하시는데요.
면목동교정치과 에서 ‘덧니’라
의심해 볼 수 있는 상황을 쉽게 설명을 해드리면,
▶ 윗니, 아랫니가 제대로 맞물리지 않을 때
▶ 배열과 교합, 위치 차이가 클 때
이 두 가지를 기준으로 잡을 수 있습니다.

오늘 소개해 드릴 이분 또한
송곳니(견치, 3번 치아)의 위치가
다른 곳에 비해 위로 올라가 있는 것을
볼 수 있었는데요.
흔히들 드라큘라에 가깝다고 말하는
부정교합의 형태를 갖고 계셨습니다.
견치는 구강 내 치아 뿌리가 제일 길고
교합에 있어 중요한 역할을 갖고 있습니다.
그러나 맹출 속도가 늦은 편에 속하는데요.
다른 앞니나 작은 어금니가
이미 3번 치아에 자리를 잡고 있다면,
이분처럼 위로 솟아 있는 형태의
High Canine(하이캐나인)이 생기게 되는 것이죠.

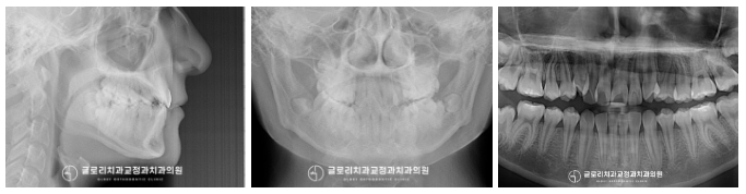
방사선 촬영을 통해 골격 검사를 했을 때
다행히 비대칭이나 다른 문제들은
발견되지 않았습니다.
환자분께서는 툭 튀어나온 덧니 때문에
입을 편하게 다무는 게 어렵고,
웃을 때마다 걸린다는 말씀을 하셨는데요.

이점을 개선하여 더 편하고
안정적인 미소를 가질 수 있도록
개선을 도와드려야겠네요.
면목동교정치과 에서는
전체 치아 이동을 유도하여
3번 치아를 올바른 곳으로
제위치 시키기로 했습니다.
큰 공간이 필요하진 않을 거라 생각되어
자연치를 뽑지 않고 비발치로 진행했습니다.

우선 비교적 이동량이 큰 위쪽부터
장치를 부착하여 정돈을 도왔는데요.
벌써부터 툭 튀어나와 있던 견치가
어느 정도 자리를 잡고 있는 것을 볼 수 있네요.

순차적으로 하악 부착까지 마친 후
맞물림과 배열을 정돈했는데요.
덧니는 스프링이라는 부가 장치를 사용하여
올바른 위치에 자리 잡을 수 있도록
적절한 공간을 부여한 뒤 이동을 시켰습니다.

치료 중간중간 방사선 촬영을 진행하여
치근 흡수는 나타나진 않는지,
눈에 띄지 않는 곳에 충치가 생긴 건 아닌지,
원하는 방향으로 잘 움직이고 있는지
확인을 도와드렸죠^^
『약 2년에 가까운 시간이 흐르고
모든 과정이 마무리되었습니다.』
위로 솟아 있던 견치가
제자리를 찾아 긴밀하게 배열되었네요.

악궁의 형태도 더 둥글고 예쁘게 바뀌었는데요.
약간의 절단 교합 경향이 보였던 이전과는 달리
정상 범위의 피개량을 찾아왔네요.
환자께서도 입을 다무는 게
훨씬 편해졌다는 말씀을 하셨는데요.
좋은 결과를 안겨드릴 수 있게 되어
정말 다행입니다^^
앞으로 꾸준한 관리 및 검진으로
틀어짐 없이 유지하실 수 있게끔
면목동교정치과 에서 도와드리겠습니다.
면목동교정치과 전, 후 변화를 보면
그 차이가 더 크게 느껴지는데요.
같은 분이 맞는지 의심될 정도로
심미적으로나 기능적으로나
올곧게 배열된 모습을 확인할 수 있습니다.
『하이캐나인 치료 과정 잘 보셨나요?』
개인에 따라 다르지만 덧니를 갖고 있는 분들 중
거의 대다수는 외적인 콤플렉스를
동반하는 경우가 많습니다.
이런 문제를 해결하지 않고
계속해서 진료를 미루거나 방치한다면,
심리적인 문제는 물론이며
나아가 여러 구강질환의 원인이
될 수 있다는 점!
이와 관련하여 문의할 내용은
아래 댓글 혹은 면목동교정치과 로
연락 남겨주시기 바랍니다.
김정은 원장이었습니다!
