벌어진 앞니는 심미적으로 좋지 않은
영향을 끼치는 경우가 많습니다.
문제는 이뿐일까요? 그렇지 않습니다.
벌어진 앞니는 그 틈새로 음식 찌꺼기나
외부 이물질이 끼는 일이 많기 때문에
자연스레 충치나 치주 질환의 확률이
높아질 수밖에 없는데요.
기능, 심미, 구강 질환 발생 확률 등
좋지 않은 영향을 끼치기 때문에
최대한 빠른 시일 내에 치료를 받는 것이
무엇보다 중요하다 할 수 있습니다.
『앞니 가운데가 벌어진 것을
‘정중이개’라 부르는데요.』
오늘 망우역치과 에서는
이와 관련된 케이스를 살펴보며
좀 더 자세한 내용을 설명드리겠습니다.
앞니 사이가 벌어졌어요.
위와 같은 주소(c.c)로 망우역치과 에 오셨던
10대 여학생의 진료 과정입니다.

전체적으로 봤을 때 정 가운데인
상악 중절치가 벌어져 있기 때문에
좋지 않은 외관을 갖고 있습니다.
이와 더불어 중심선도 일치하지 않아
불균형한듯한 구강 모습이 눈에 띄는데요.


환자께서는 음식을 먹을 때마다 사이에 끼고
잘 빠지지 않는다며 생활에서
불편함을 느끼고 계셨습니다.

이렇게 이 사이가 벌어지게 된다면
그 정도에 따라 치료 방법이 달라지는데요.
『1) 레진
2) 보철
3) 교정』
위 3가지 방법을 주로 사용하여
개선을 도와드리고 있죠.
틈 공간이 경미한 경우에는
레진이라는 재료를 사용하여
당일 수복으로 개선이 가능하며,
이보다 공간이 클 경우에는
래미네이트나 크라운을 사용하여
수복을 도와드리곤 합니다.
『그렇다면 교정은 어떤 경우에 진행할까요?』
바로 다른 치열 문제가 동반되었거나
폐쇄할 공간이 넓은 경우,
벌어짐이 한곳이 아닌 여러 곳에
나타났을 때 진행하곤 하는데요.
이분의 경우 전치부 치아에서
치간이개가 발생한 것으로 확인되었으며
정중선 불일치, 넓은 틈새 공간 등으로
교정을 진행하는 것이 더 나은 선택이
되겠다는 판단이 들었습니다.
무엇보다 교정의 경우
자연치 삭제가 없이 진행되기 때문에
보존적인 측면에 있어서도 좋은 방법이죠.
망우역치과 에서는 위 내용을
환자께 충분히 설명드린 후에
본격적인 정중이개 개선 치료를
진행하기로 최종 계획을 세웠습니다.
깔끔하게 메꿔진 치아 사이
망우역치과 에서는 브라켓과
와이어를 부착하여 치아 이동을 도왔습니다.

벌어진 틈을 폐쇄하는 과정이라
공간을 확보하는 부가적인 술식은
필요하지 않았는데요.
이렇게 공간을 닫는 것은
생각보다 간단하게 진행되는 부분이긴 하나..
한시라도 긴장의 끈을 놓쳐선 안됩니다.
전치부와 구치부의 배열 관계를
동시에 고려하여 최적의 맞물림을
재현해야 되기 때문이죠.

거의 모든 공간이 폐쇄되었습니다.
이분의 경우 신경치료를 한곳이 있었으나
심한 이동이 필요하지 않았기 때문에
치료를 진행할 때 문제가 되지 않았는데요.
만약 임플란트를 했거나
크라운을 올려둔 곳이 있다면
이점에 대해서도 꼭 정확히 확인을 해봐야 됩니다.
치조골에 고정되어 있는 임플란트는
이동이 불가하기 때문이죠^^
약 1년간의 기간이 소요되었습니다.

벌어져 있던 치아 사이가
긴밀하게 붙어 있는 모습입니다.
정중선도 알맞게 잘 맞고 있었으며
전체적으로 훨씬 안정된 배열이 눈에 띄는데요.
구치부 교합도 이전에 비해
더 긴밀하게 바뀌었으며,
미세한 사이가 벌어진 여러 곳들도
정중이개 개선과 함께 모두 바뀌었네요.

악궁으로 확인했을 때도 이전에 씌워놓은
크라운과도 잘 어울린 채
둥근 형태를 갖게 된 것을 볼 수 있습니다.

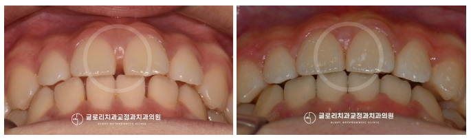
『전, 후 사진 비교를 해볼까요?』

나란히 놓고 보니깐
사이좋게 붙어 있는 것을 볼 수 있네요.
무엇보다 이전처럼 이 사이에
음식이 끼지 않아서 너무 좋다는
환자분의 기분 좋은 후기를 들을 수 있었는데요.
망우역치과 에서는
다시는 이전처럼 돌아가지 않도록
유지 장치 부착 후 꾸준한 관리를 약속드렸습니다.
이렇게 치간이개가 나타난 경우는
거의 대부분 1년 안팎으로 개선이 가능합니다.
만약 이와 비슷한 고민을 갖고 있다면
아래 댓글 혹은 망우역치과 에 오셔서
정확한 검진을 받아보길 바랍니다.
긴 글 읽어주셔서 감사합니다.
김정은 원장이었습니다.
