망우동치과 글로리의 김정은 원장입니다!
『앞니의 역할』
앞니는 우리 구강 내 기능과 심미적인 면에 있어
중요한 역할을 갖고 있습니다.
①
미소를 완성시키는데 중요한 역할을 하는데요.
고르고 하얀 치열은 타인으로 하여금
더 긍정적인 이미지를 줄 수 있으며
이는 사회적인 관계에 있어서도 중요한 요소죠.
②
음식 섭취와 발음도 빼놓을 수 없는데요.
기능을 제대로 하지 않으면 발음이 불분명해져
소통에 어려움이 생길 수 있습니다.
또한 절단을 하는 역할을 갖고 있는 곳에 문제가 생기면
면 종류의 음식을 하는데 어려움이 생기게 되죠.
③ 이외의 문제들.
이외에도 잇몸 건강에 영향을 미친다거나
소화, 심리적인 면에 있어서도
중요한 역할을 갖고 있는데요.
앞니가 심하게 삐뚤어졌다면
빠른 시일 내에 망우동치과 에 오셔서
검진을 받는 것을 권해드립니다.
이제 환자분의 진료 과정을 함께 보며
좀 더 자세한 내용을 설명드리겠습니다.
『삐뚤어진 앞니,
최대한 빠르게 치료받고 싶어요.』
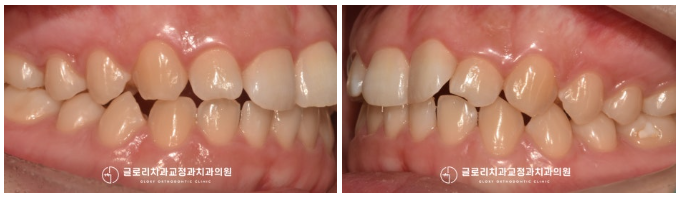
삐뚤어진 앞니가 고민이라며
망우동치과 에 오셨던 분입니다.

정면에서 봤을 때 한눈에 봐도
틀어져 있는 전치부 치아를 볼 수 있는데요.
“뭐 이 정도는~”이렇게 생각하는 분들이 계시겠지만..

환자분의 얘기를 들어보니 꽤 오랜 기간
콤플렉스로 갖고 있었다고 합니다.

이렇게 외적인 부분은 개인마다 기준이 다르기 때문에
스스로 살펴봤을 때 계속해서 거슬리고
치료가 필요하다는 생각이 들면
빠른 시일 내에 내원하여 검진을 받는 것이 좋죠^^
전방으로 뻐드러진 치아 때문에
약간 돌출이 생긴 게 아닐까? 의심이 되었는데요.
다행히 돌출 소견은 나타나지 않았습니다.

20대 여성분인 이분은 직장 생활도 하고 계셨기에
최대한 빠른 시일 내에 치료를 마치고 싶다는
요청을 하셨는데요.
망우동치과 에서는 이런 점을 고려하여
치료 계획을 세우기로 했습니다.
『글로리의 계획』
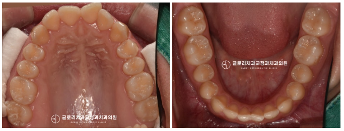
이분의 경우 교합에 있어선
큰 문제가 발견되지 않았는데요.
따라서 망우동치과 에서는
‘윗니 부분교정’을 통해 삐뚤어진 곳을
고르게 바꿔주기로 계획을 세웠습니다.
전체 치료보다 저렴한 비용,
빠른 기간 내에 마칠 수 있을뿐더러
진료 중 느껴지는 불편함도 적기 때문에
적합한 방법이란 생각이 들었죠^^
환자께서도 너무 좋다는 말씀을 하셨는데요.
신속하지만 정확하게!
본격적인 치아 이동을 돕기로 했습니다.
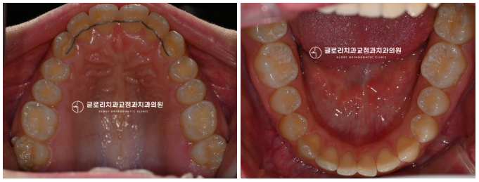
『8개월간의 변화 과정』
예상 기간은 1년 안팎으로 잡아놓았습니다.
큰 이동이 필요하지 않았기 때문에
따로 발치를 하거나 치질을 삭제하는
치간 삭제는 시행하지 않았는데요.
처음에는 이가 이동하면서 약간의 뻐근함이
들 수 있다는 점을 미리 안내드린 후에
본격적인 이동을 유도했습니다.
환자의 협조도 매우 좋았기 때문에
예상 기간 보다 단축되어 약 8개월 만의
모든 과정을 마칠 수 있었는데요.
『어떤 모습으로 바뀌었을지 확인해 볼까요?』


삐뚤어졌던 앞니가 고르게 배열되어
훨씬 심미적이고 안정적인 모습이 되었습니다.

원래도 예쁜 미소를 갖고 있었던 분이지만,
틀어진 앞니가 고르게 펴짐으로써
더 환하고 밝은 미소를 갖게 되었네요^^

생각보다 빨리 마칠 수 있어 너무 좋다며
수차례 감사의 인사를 해주셨는데요.
망우동치과 에서는 이전 상태로 돌아가려는
‘회귀 현상’을 막기 위해 유지 장치를 부착하여
마무리를 도와드렸습니다.

교정은 의료진의 판단에 따라
치료의 결과가 좌우될 수 있습니다.
보다 정확한 분석과 판단,
그리고 체계적인 계획을 필요로 하는데요.
좋은 결과에 가까워질 수 있는 방법은
경험과 노하우가 풍부한 의료진에게
진료를 받는 것입니다.
저희 망우동치과 에서는 교정 전문의 대표원장인 제가,
책임을 지고 진료를 도와드리고 있기 때문에
수많은 케이스를 보면 알 수 있듯이
환자분들의 만족도가 굉장히 높은 편인데요.
치열 문제로 고민을 갖고 계시다면,
더 늦기 전! 글로리에 오셔서 검진받아보길 바랍니다.
긴 글 읽어주셔서 감사합니다.
김정은 원장이었습니다.
