안녕하세요, 여러분~
중화동 글로리 치과 김정은 원장입니다.
날이 가면 갈수록 점점 더워지고 있네요.
봄이 온지 얼마 지나지 않은 것 같은데
벌써 여름이 찾아오고 있나 봅니다.
지난번에 반대교합에 관련된 케이스를
여러분들께 설명해 드린 적이 있습니다.
기억이 나실까요?
그때는 위, 아래가 반대로 물리는 형태였지만
오늘 설명드릴 케이스는 위, 아래가 깊게 물리는
과개교합(deep bite)에 관련된 내용입니다.
『‘물리면 물리는 거지 깊게 물리는 게 뭐가 어때서요?’』
이렇게 여쭤보는 분들이 계시지만..
깊게 물리는 것도 문제가 될 수 있습니다.
중화동 치과 애서 하나씩 설명을 드리며
좀 더 자세한 설명을 드리겠습니다!
앞니가 이상하게 물려서 아랫니가 안 보여요.
중화동 치과
『“선생님, 저 아랫니가 안 보여요.
윗니가 커서 그런지 모르겠는데
부자연스러워서 계속 신경 쓰이네요.”』
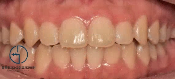
환자의 초진 사진을 살펴보면
한눈에 봐도 윗니가 아랫니를 꽤 많이
덮고 있는 것을 볼 수 있습니다.

과개교합이 나타난 것으로 확인이 되는데요.
이는 쉽게 말해 정상에 비해 아랫니가 잘 보이지 않는 것을 뜻합니다.
이와 더불어 삐뚤어진 치열도 눈에 띕니다.
전체적으로 총생(crowding)이 나타난 것을 확인할 수 있었습니다.

과개교합에 대해 알아보는 시간을 가져볼까요?
도대체 과개교합은 왜! 생기는 걸까요?
-> 유전적인 요인으로 인한 턱 성장의 부조화나
이갈이, 손가락 빨기, 외상 등으로 인해 발생합니다.
치료를 하지 않고 내버려 두면요..?
-> 정상적인 맞물림이 아니기 때문에
저작기능을 제대로 할 수 없을뿐더러
치주 질환의 원인이 될 수 있습니다.
또한 치아에 과도한 외력이나 손상을 일으킬 수 있는데요.
심지어는 이갈이나 턱관절 질환의 원인이 되기도 하죠.
글로리의 계획
중화동 치과
이때 꼭 고려해야 될 것이 있습니다.
전치부 과개교합은 아래턱의 성장이
위턱에 비해 부족하기 때문에 발생하곤 합니다.
즉, 대부분 골격성 2급 부정교합을 갖고 있는데요.
이와 동시에 얼굴이 짧은 단안모를 동반하기 때문에
안모 개선에 있어서도 꼭 확인을 해야 되는 부분입니다.
다행히 이분께서는 총생이 심한 편이 아니라
고르게 배열될 공간이 모자란 것은 아니었는데요.
따라서 중화동 치과 에서는
발치까진 하지 않아도 되겠다는 판단이 들었습니다.
『비발치 교정을 통한 과개교합 치료
(미니스크류 사용)
예상 기간 : 약 1년 반』
진료 과정
중화동 치과


사진에선 나타나 있지 않지만
미니스크류를 사용하여 위 앞니는 더 위쪽으로,
아래 앞니는 더 아래쪽으로 밀어 넣는 압하를 진행했습니다.
약 1년 반에 가까운 시간이 흐르고
글로리의 모든 과정이 마무리되었는데요.
과연 결과는 어떻게 되었을지 함께 살펴볼까요?

이전과는 달리 눈에 띄게 달라진 피개량이 관찰됩니다.
다행히 정상적인 교합량을 갖게 되었으며
정중선도 알맞게 개선된 것을 확인할 수 있네요.

구치 배열도 1치대 2치 관계로 이상적인 맞물림을 갖게 되었으며
악궁의 형태도 전에 비해 더 둥근 U자 모양으로 바뀌었습니다.
치료가 끝난 뒤,
환자께서는 변화된 모습에 눈을 떼지 못하셨는데요.
이렇게 짧은 시간 안에 바뀔지 몰랐다며
놀라셨던 모습이 생생하게 떠오릅니다.
중화동 치과 에서는 지속적인 검진을 통해
고르게 배열된 치열이 되돌아가지 않도록
사후 관리를 도와드리기로 약속드렸습니다.

과개교합은 다른 문제들에 비해
불편함이나 외적 콤플렉스가 상대적으로 적은 편인데요.
그래서 그런지 어린 아이일 때의 조기 발견이 힘든 편입니다.
그러나 한 가지 알아두셔야 될 것은
제때 진료를 받지 않으면 턱관절 장애나 치주 질환 등
구강 건강을 악화시키는 원인이 될 수 있다는 점.
최대한 빠른 시일 내에 발견하여
올바른 치료를 받는 것이 제일 좋은 방법입니다^^
이와 관련하여 문의할 내용이 있는 분들은
댓글 남겨주시면 답변 도와드리겠습니다.
중화동 글로리 치과 였습니다. 감사합니다.
