안녕하세요,
교정과 전문의 김정은입니다.
오늘은 치아와 턱 관련 문제가
여러 개 동시에 나타나는 경우에
대해 소개해 드리려 합니다.
혹시 거울을 보면서 앞니가 닿지 않고,
아래턱이 위턱보다 앞으로 나와 있으며,
심지어 빠진 치아까지 있다면
어떤 느낌이 드실까요?
이런 상황은 생각보다 드물지 않아요.
반대교합, 주걱턱, 치아 결손이
동시에 나타나는 경우가 있답니다.
각각의 문제도 불편하지만,
여러 문제가 함께 있으면
생활에 미치는 영향이
훨씬 더 심각해질 수 있어요.
| 만일 음식을 저작하기 어렵다면?

23.09.01
앞니로는 자르기 어렵고,
어금니로는 잘게 부수기 힘들어져
전체적인 저작 능력이 크게 떨어집니다.
그 결과 소화 불량이나 영양 불균형
위험이 높아질 수 있어요.

23.09.01
턱관절에도 과부하가 걸리면서
턱 관절 통증이나 관절 잡음,
턱 운동 장애 등이 발생하기 쉬워집니다.

23.09.01
또한 얼굴이 비대칭해지고
변형이 심해져 심미적 문제도
더욱 가중될 수 있답니다.
발음할 때도 정확도가 떨어지고
특정 음운이 새거나 부자연스러운
발음이 나타날 수 있어요.
이런 문제들로 인해 대인관계에서
자신감이 저하될 수 있고,
심리적 위축감도 커질 수 있습니다.
치주질환이나 충치 위험도 높아져요.
치아 결손과 비정상적인 교합이
겹치면 공간이 생기고,
여기에 음식물이 잘 끼면서
플라그가 쌓이기 쉬워집니다.
이런 복합적인
문제들을 종합적으로 분석해서
체계적인 치료 계획을 세워야 됩니다.
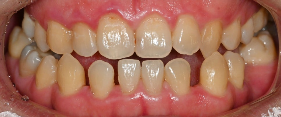
| 주걱턱과 치아 결손, 반대교합의
| 복합적 문제

23.09.01
주걱턱은 아래턱이 위턱보다
과도하게 앞으로 나온 상태로,
골격적 문제와 치아 배열 문제가
복합적으로 나타나는 경우가 많아요.
이런 상황에서 치아 결손까지
같이 있으면 문제가 더욱 복잡해집니다.

23.09.01
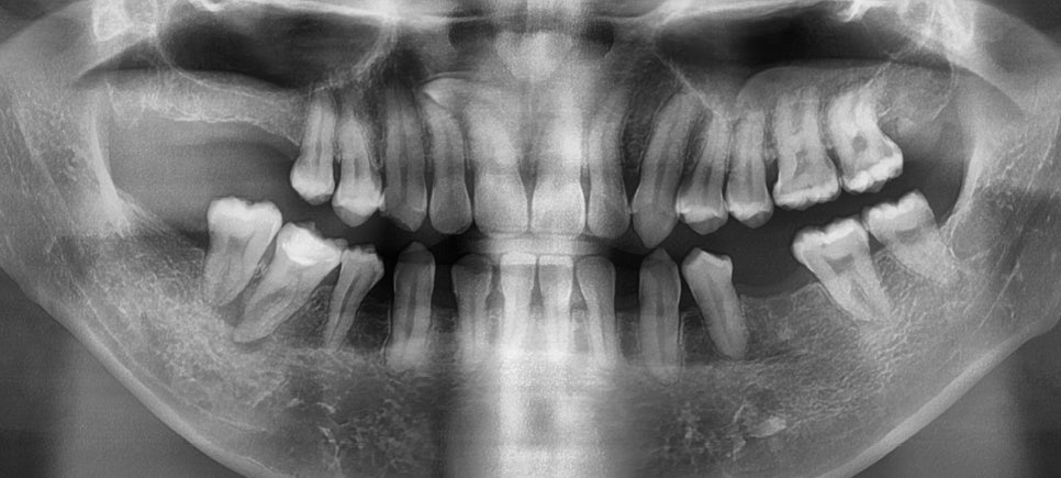
치아 결손은 치아 개수가 정상보다
부족한 상태를 말해요.
선천적으로 치아가 없거나
외상이나 질환으로 인해
치아를 잃은 경우를 포함합니다.
치아 결손이 있으면 주변 치아가
빈 공간으로 이동하게 되고,
이로 인해 전체 치열의 배열이
흐트러지게 됩니다.
특히 주걱턱과 함께 나타나면
아래턱의 돌출이 더욱 심해 보이고,
얼굴 전체의 균형이 더욱
불안정해질 수 있어요.
결손된 치아 부위에서는
음식물을 제대로 씹을 수 없어
한쪽으로만 씹는 습관이 생기고,
이는 턱관절에 불균형을 일으킵니다.
또한 치아 결손으로 인한
공간 때문에 개방교합이 더욱 심해질 수 있고,
반대교합도 악화될 위험이 높아요.

23.09.01
반대교합(Crossbite)은
정상적인 교합과 달리 아랫니가 윗니보다 앞으로
나와 있는 상태를 의미합니다.
이것들이 동시에 있을 경우
치아 배열이 전체적으로 불안정해지는 것을
확인할 수 있어요.
치아 사이 간격이 비정상적으로
넓어지면서 치간이개가 생기고,
맞물려야 될 이가 제대로
접촉하지 못하게 됩니다.
이로 인해 음식이 잘 끼고
구강 위생 관리가 어려워져요.
특히 발음할 때 공기가 새어나가
말하기가 불편해지고,
일부 음운의 발음이 부정확해집니다.
이런 문제들이 복합적으로 작용하면
생활에서 느끼는 불편함이
단순한 문제의 합보다 훨씬 클 수 있어요.
교정 치료 시에도 두 문제를
동시에 해결해야 되므로
치료 계획이 더욱 신중하게
세워져야 된답니다.
이런 상호작용으로 인해
각각의 문제가 서로를 악화시키는
악순환이 발생할 수 있답니다.
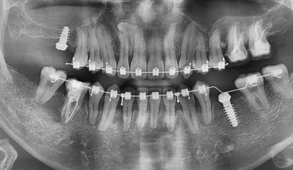
| 임플란트와 교정의 복합 치료 과정
복합적인 치아 문제를 해결하기 위해서는
임플란트와 교정 치료를
체계적으로 조합한 접근이 필요해요.
치료 순서와 방법은 개인의 상태에 따라
달라질 수 있지만, 일반적인 과정을
살펴보면 다음과 같습니다.

23.09.01
먼저 정밀한 진단과 분석을 통해
골격적 문제와 치아 배열 문제를
구분하여 평가합니다.

23.09.01
3차원 영상 분석과 모델 분석을 통해
치료 계획을 수립하게 되어요.

24.01.10
치아 결손 부위에
임플란트를 식립하기 전에
교정 치료를 먼저 진행하는 경우가 많습니다.
이는 치아 배열을 정리한 후
임플란트를 적절한 위치에
식립하기 위함이에요.

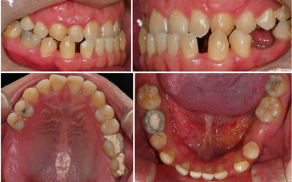
24.08.19//25.01.13
교정 치료 과정에서
반대교합을 동시에 개선하면서
임플란트 식립을 위한 공간을
확보하게 됩니다.
필요에 따라 치간이개를 조절하고
전체적인 치아 배열을 정리해요.
골격적 문제가 심한 경우에는
악교정 수술을 병행하기도 합니다.
주걱턱이 심한 경우 수술적 교정을
통해 턱의 위치를 개선한 후
치아 배열을 정리하는 방식으로
진행될 수 있어요.

25.04.07

25.04.28
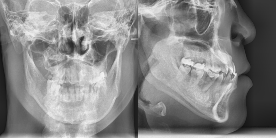
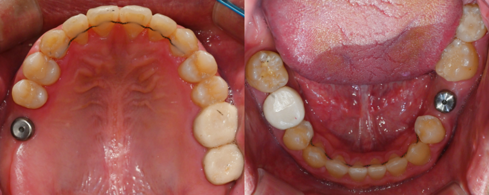
임플란트 식립 시에는 주변 치아와의
조화를 고려해서 위치와 각도를
정밀하게 결정합니다.

25.06.02
최종적으로 보철물을 장착할 때도
전체적인 교합을 고려해서
제작하게 됩니다.
| 글을 마치며..
반대교합, 주걱턱, 치아 결손이
복합적으로 나타나는 경우의 치료법에 대해
상세히 알아보았습니다.
이러한 복합적인 문제들은
각각이 서로에게 영향을 미치면서
더욱 심각한 상태로 발전할 수 있습니다.
하지만 체계적인 진단과 치료 계획을
통해 충분히 개선할 수 있는 부분입니다.
임플란트와 교정 치료를 적절히
조합하면 기능적, 심미적 개선을
동시에 이룰 수 있습니다.
무엇보다 조기에 발견하고
적절한 시기에 치료를 시작하는 것이
중요합니다.
제가 오늘 제공한 정보는
일반적인 내용이므로 개인의
구강 상태와 골격적 특징에 따라
치료 방법이 달라질 수 있습니다.
정확한 진단과 개인 맞춤형 치료
계획을 위해서는 전문의와의
상담이 필수적입니다.
관련 증상이나 문제가 있으시다면
미루지 마시고 한 번쯤 상담을
받아보시는 것을 권해드립니다.
건강한 치아와 아름다운 미소로
더욱 자신감 있는 일상을
만들어가시길 바랍니다.
교정과 전문의 김정은이었습니다.

치료기간 : 23.09.01~25.06.02
