오늘은 진단이 다소 어려운 케이스인
‘횡적 부조화’에 대한 내용을 설명해보려 합니다.
전문적인 내용이라
살짝 이해하기 어려우실수도 있겠지만..
실제 케이스와 함께
최대한 쉽게 풀어서
설명드리도록 하겠습니다.

『불편하고 어딘가 불안정한 교합?』

씹는 것이 불편한 교합 문제가 있어
치료를 해야 되는 환자 입니다.

교합이 긴밀하지 못하다보니, 위아랫니가
살짝 뜨는 모습을 확인 할 수 있었습니다.


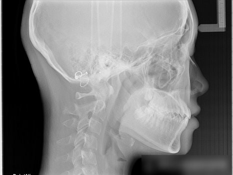
환자분의 악골관계(위아래 턱뼈)를
살펴볼 수 있는 방사선 사진에서
그 원인을 발견할 수 있었습니다.
아래턱이 한쪽으로 틀어진
골격적 비대칭 문제였습니다.

출처 (https://www.gireorthodontics.com)
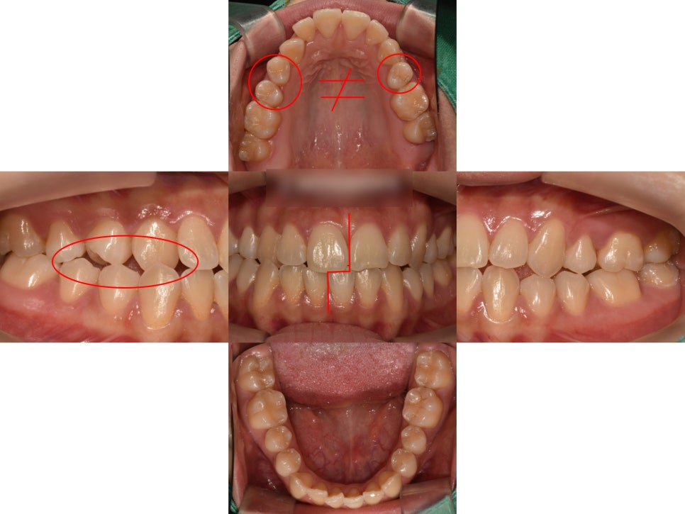
보통의 정상교합(malocclusion)은 윗니들이
아랫니를 전체적으로 감싸주는 형태여야 됩니다.
(오른쪽 그림)

그런데 이번 케이스의 경우
아래턱이 오른쪽으로 치우져진 상태라,
오른쪽 어금니부터는
거꾸로 물리는 반대교합이 관찰되고
교합이 어딘가 불안정해 보였습니다.
이를 전문 용어로
‘횡적 부조화(transverse discrepancy)’라
합니다.
횡적 부조화가 관찰되는 환자들에게
가장 큰 문제는 교합기능이
원활하지 못하다는 점입니다.
특히 횡적부조화로 인한 반대교합은
저작의 효율을 떨어뜨리고
턱관절까지 무리를 줄 수 있습니다.
또한 오른쪽 작은 어금니 하나가
결손된 상태였는데
이 또한 비대칭, 부정교합을
유발하는 원인이 되었습니다.
『횡적 부조화는 어떤 치료가 필요할까?』
이렇게 위아랫니가 제대로
교합되지 못했던 이유를 정확하게 확인 한 뒤
저희 중화동 교정치과 는
다음과 같은 치료 계획을 세웠습니다.
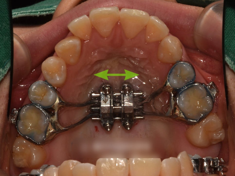
『1. 급속구개확장장치를 통한 위턱 확장 (MARPE)
2. 치아 배열
3. 교합 안정화』
다음은 실제 치료과정입니다.

먼저, 윗니가 아랫니를 충분히 덮어줄 수 있도록
위턱을 확장시키는 작업을 진행했습니다.
(MARPE 장치 사용)

어느정도 위턱이 확장되면서
공간이 조금씩 생기기 시작할때,
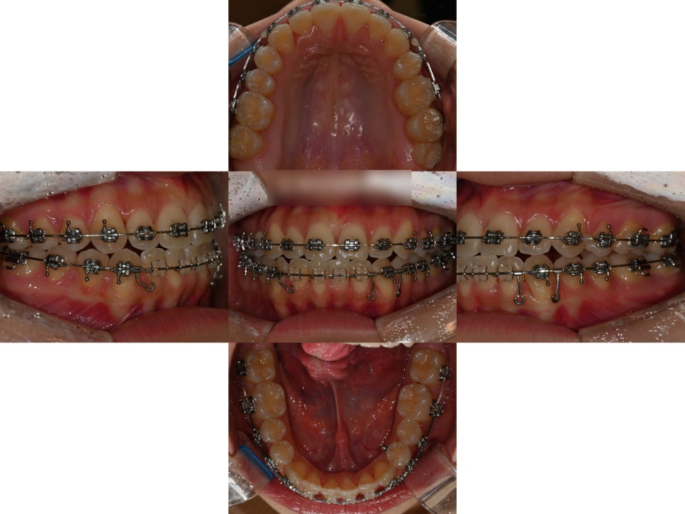
치아들을 가지런하게 배열하며
오른쪽 결손부위로 인해 틀어진 정중선까지
최대한 일치시키는 이동계획을 잡았습니다.

상악 확장이 잘 이루어져
윗니가 아랫니를 덮을 수 있는
상태가 되었습니다.
그러나 여전히 교합은 불안정합니다.

이제 중화동 교정치과 에서
교합을 안정화시키는 과정이
무엇보다 중요한데요.

점점 긴밀해져가는
교합의 변화를 확인할 수 있습니다.

중간마다 안모의 조화를 체크하는 것도
잊지 않고 꼼꼼하게 확인합니다.

환자분이 잘 협조해주신 덕분에
치료가 생각보다 빠르게 종결 되었습니다.

위아래턱의 폭경 부조화를 빠르게 캐치하고
급속구개확장장치(RPE)를 잘 활용한 덕분에
교합을 안정적으로 변화시켜줄 수 있었고,
심하게 틀어져 있던 정중선까지
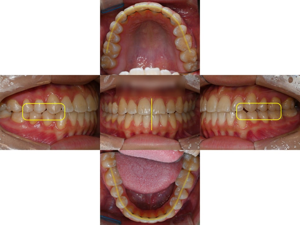
최대한 맞춰드렸습니다.
가장 중요한 양쪽 어금니 교합이
잘 물리는 상태로 양호하게
마무리 된 모습입니다.
폭경부조화의 경우
진단이 가장 중요한데,
사실 이런 횡적부조화에 관한 건
꼼꼼하게 진단하지 않으면
놓치기 쉬운 문제 중 하나 입니다.
오늘도 긴글 읽어주셔서 감사합니다:)
