가지런한 치열을 가지려면
여러가지 여건들이 필요합니다.
교정치료를 결정 했다면,
적절한 시기에 진행을 해야 되며
적시를 놓치는 경우
치아 이동의 한계가 있으며
뼈가 다 굳었을 경우에는
환자가 느끼는 뻐근함 정도가
더 심해지는 경우가 있습니다.
동시에, 의료인이 근거 기반의
정확한 진단을 실시해야 되며
의학적 객관성에 따라서
치료를 진행하며
환자 또한 적절한 협조를 해야
좋은 치료 결과를 얻을 수 있습니다.
아래에서 보여드리는 내용들은
신내동 치과 에서 정보 전달성
목적으로 작성 된 글이며
의학정보의 글입니다.

치료 기간: 23.11.03~24.12.11
『초진』
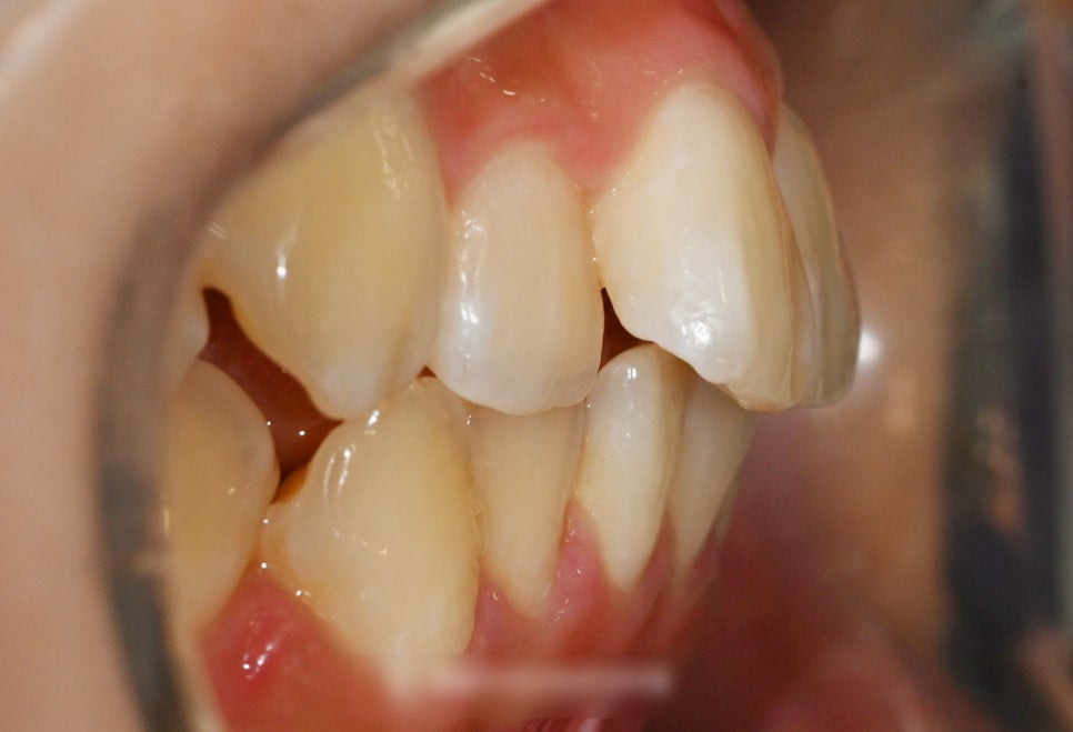
신내동 치과 에서 촬영해두었던
초진 사진 입니다.

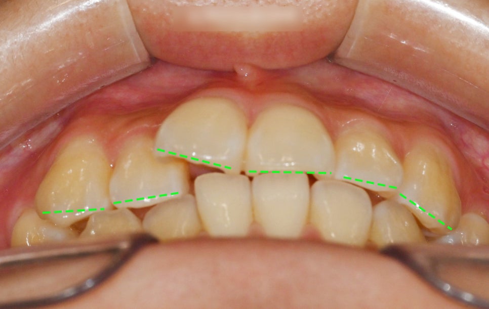
1) 악궁의 형태 는 나쁜 편은 아닙니다.
2) 다만, 치열의 개선이 필요합니다.

상기 사진을 보면 Overjet 의 양이
일률적이지 않다는 것을 보여줍니다.
즉, 교합에 따라 기능적 문제가
나타날 수 있으며 동시에 비심미적인
모습을 야기시킬 수 있습니다.

1) 방사선 사진 촬영
2) 안모 사진 촬영
등을 통해서 종합적인 진단을 실시합니다.
진단 결과에 따라서 이상적인 값(위치)에서
벗어나는 것들을 중점적으로 치료에
들어갈 수 있습니다.
『사전 시뮬레이션』
임플란트 수술도 요즘은 컴퓨터로
시술 후의 모습을 예측할 수 있습니다.
교정 또한 마찬가지 입니다.
아래 사진에서 치료 후, 결과를
미리 예측해볼 수 있습니다.
물론 오차는 발생 될 수 있습니다.

상기 시뮬레이션 결과에 따라서
블랙트라이 앵글이 나타날 수
있다는 결과를 보여줍니다.
따라서 이러한 부작용들을
최소화 하기 위해서 치간삭제를
진행하기로 했으며
예측 되는 부작용들을
최소화 할 수 있도록
진단 내용을 한번 더 수정합니다.
상기 시뮬레이션에서는 ‘비발치 교정’
으로 진행이 가능함을 보여줍니다.

다소 사진에서는 치열의 불규칙성이
큰 것으로 보여지나 진단 결과에서는
그 정도는 아니라는 것을 보았을 때
소구치아와 같은 기능적인 것을
크게 담당하지 않는 치아를 발치
하지 않는 비발치로 진행하기로
결정 내릴 수 있습니다.
장치는 ‘클리피씨 장치’ 를 결정했습니다.
환자의 의사가 반영이 된 것이며
여러가지 장점들이 있습니다.
1) 치아 이동 시 마찰력이 줄어들어,
통증의 정도가 경감 될 수 있다.
2) 메탈 장치보단 더 심미적이다.
3) 음식의 끼임 정도가 적다.

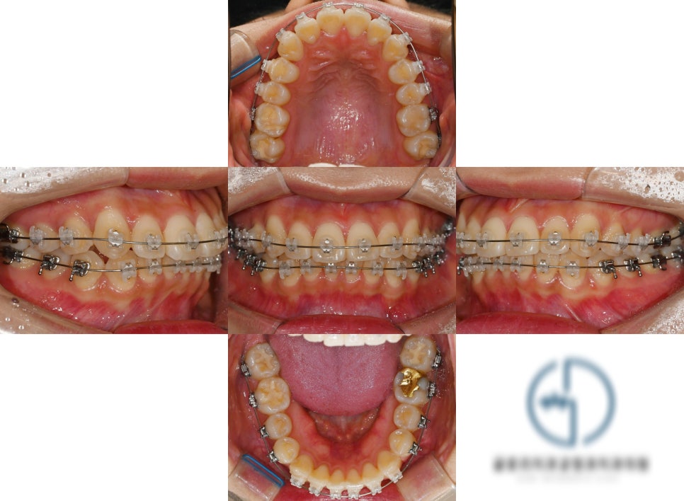
신내동 치과 에서 촬영한 사진들입니다.
장치를 부착 한 뒤에 사진을 찍었습니다.

동시에 정확한 치아 이동을 위해서
상악 구치부의 위 쪽에 미니 스크류를
식립 한 것을 볼 수 있습니다.
이는 고정원의 역할을 담당하며,
앞서 설명드린 것 처럼
정확한 치아 이동을 하는데
큰 도움을 줄 수 있습니다.
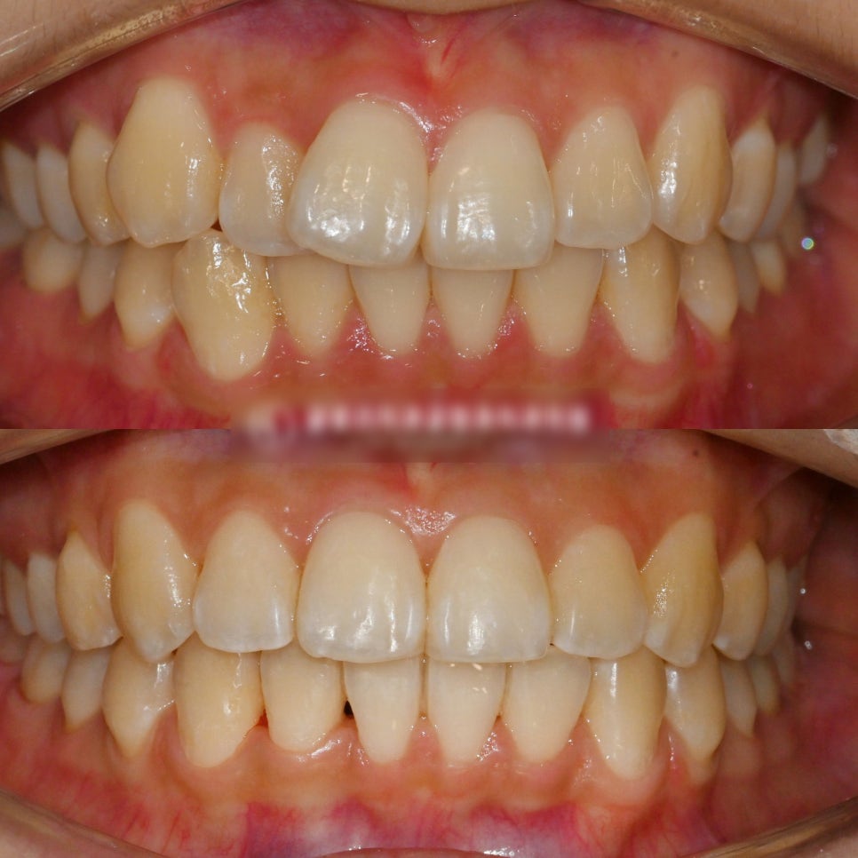
『치료 종결』
12개월의 치료 기간에 걸쳐
치료가 종결 되었습니다.

악궁은 U shape 의 양상을 보여주며
위, 아래로 치열들이 맞아떨어지는
교합의 형태도 보여줍니다.

아래 사진을 보면 스마일 라인도
다소 변화 된 것을 볼 수 있습니다.

치열이 고르게 바뀜에 따라서
환자는 심리적 안정감과 자신감을
얻게 될 가능성이 높습니다.
따라서 웃는 표정 자체가
변화되는 긍정적인 면모도
보여줄 수 있습니다.
이상, 신내동 치과 에서 작성 되는
의학 정보 글은 마치겠습니다.
