안녕하세요, 상봉동 교정치과 김정은 원장입니다.
치열이 가지런하지 않고 앞니가 겹쳐 보이는 전치부총생은 기능적인 문제뿐 아니라
심미적인 부분과도 밀접하게 연결됩니다. 그렇기 때문에 웃을 때 치아가 고르지 않아 보이거나 사진을 찍을 때
치열이 신경쓰이는 경험을 하신 분들도 적지 않은데요.
교정을 통해 충분히 개선이 가능함을 알면서도 눈에 띄는 장치에 대한 부담때문에 치료를 쉽게 결정하지 못하는 경우도 많습니다.
이러한 배경 속에서 비교적 심미성이 우수하고 탈부착이 가능한
인비절라인과 같은 투명교정에 대한 관심이 점점 높아지고 있습니다.
그렇다면 투명 교정은 과연 어떤 케이스에서 적용이 가능할까요?
모든 부정교합이 동일한 방식으로 치료되는 것은 아니며
골격 관계와 치열의 상태, 공간 분석 결과에 따라 적합한 치료는 달라지게 됩니다.
오늘은 많은 분들이 궁금해하시는 투명교정에 대한 내용을 전해드리겠습니다.
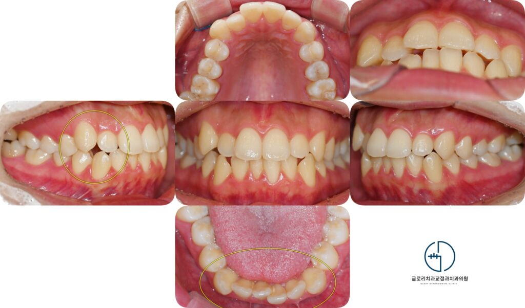
전치부 총생

상봉동 교정치과 에서 준비한 구강사진을 보면 현재 앞니가 서로 겹쳐 배열되어있으며 치열이 전반적으로 고르지
못한 것을 알 수 있습니다. 이처럼 공간부족으로 인해 치아들이 서로 겹쳐있는현상을 총생, 덧니라고도 칭합니다.
총생은 단순히 치아가 고르지 않아 보이는 심미 문제에 그치지 않습니다.
이가 겹쳐 배열되면 칫솔이 닿기 어려운 부위가 생기게 되고 그로 인해
치태가 쉽게 축적되어 충치나 치은염으로 이어질 가능성도 높아집니다.
또한 치아가 비정상적인 각도로 배열되어있을 경우
저작 기능이나 교합 균형에도 영향을 줄 수 있어 치료가 필요하죠.
특히나 전치부는 말그대로 눈에 먼저 띄는 부위로 웃을때나 대화를 할때
심미성이 크게 작용하는 영역입니다. 치열이 고르지 못하면 인상이 달라보일 수 있으며 이는 자신감에도 영향을 줄 수 있습니다.

상봉동 교정치과 에서는 엑스레이를 이용한 정밀 진단이 필요하다 설명드립니다.
측모사진과 여러 다각도 분석을 통해 해당 케이스는 골격성 1급 부정교합임을 파악합니다.

이는 상하악의 전후방관계는 비교적 안정적인 상태를 의미하며 턱뼈 위치 자체에는
큰 불균형이 없음을 뜻합니다. 따라서 이번 총생의 주된 원인은 골격적 문제라기보다는
치열 내 공간 부족에 의해 발생한 배열 이상으로 판단할 수 있습니다.
비발치 인비절라인
현재 나타나는 골격성 1급 부정교합을 개선하기 위해서는 치열을 가지런히 재배열하는 교정이 필요합니다.
다만 상봉동 교정치과 에서는 그 불균형이 크지 않은 만큼 반드시 발치를 동반해야 되는 상황은 아닌 것을 알 수 있습니다.

이러한 조건에서는 비발치 투명교정을 활용해 치아를 단계적으로 이동시키는 치료 계획을 세울 수 있는데
사전에 클린체크 시뮬레이션을 통해 자연치의 이동방향과 변화를 3차원으로 예측하고
최종 교합 상태를 설계하게 됩니다.
이를 통해 전치부의 전방경사 없이 자연스러운 배열이 가능한지에 대한 여부를
판단할 수 있으며 보다 정확한 분석을 기반으로 치료의 안정성을 높일 수 있습니다.

예시 사진을 보면 현재 치면에 하얗게 부착되어있는 재료가 보입니다.
이는 인비절라인 과정에서 사용되는 어태치먼트로 투명장치가 자연치를 정밀하게 잡아주고
계획된 방향으로 힘을 전달할 수록 돕는 역할을 합니다.
특히나 회전이 필요한 치아나 경사 이동이 요구되는 전치에서는 어태치먼트의 위치와 형태가 그 결과에 큰 영향을 미치게 됩니다.
인비절라인은 고정식 교정과는 달리 치면에 브라켓과 철사를 부착하지 않아
외관상 눈에 잘 띄지 않는다는 장점이 있는데 투명한 장치로 이를 감싸는 방식으로
설계된 단계에 따라 점진적으로 자연치를 움직이게 합니다.

상봉동 교정치과 에서 보여드리는 자료를 통해 서서히 배열이 가지런해지는 것을 확인할 수 있습니다.
다만 이러한 치료의 효과를 충분히 얻기 위해서는 하루 평균 20시간 이상 착용이 권장됩니다.
식사시간과 양치시간을 제외하고는 가능한 오래 유지하는 것이 계획된 위치로 정확히 치아가 이동할 수 있습니다.
따라서 환자의 협조도가 그만큼 중요한 치료이기도 합니다.
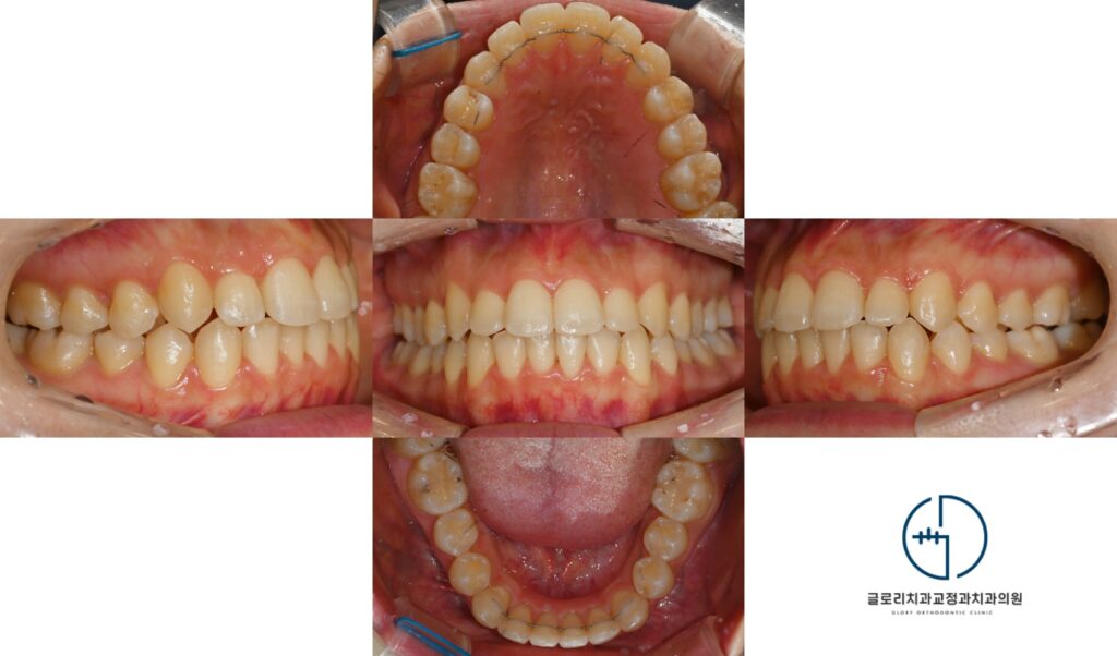
개선된 모습

단계별 교체과정을 통해 불규칙했던 치열이 개선되고 모든 치료가 마무리된 구강을
살펴보겠습니다. 겹쳐있던 앞니는 자연스럽게 정렬되었으며 과도한 전방경사
없이 안정한 교합 관계가 형성되었습니다.

웃을때 역시 드러나는 치열선이 정돈되었고 전반적인 심미성이 높아진 것을 확인할 수 있습니다.
오늘 상봉동 교정치과 에서 설명드린 비발치 인비절라인 치료를 정밀한 진단과 계획이
선행된다면 안정성과 심미개선을 동시에 기대할 수 있는 방법인데요.
다만 모든 케이스에서 가능한 것은 아니므로 전문가의 정확한 진단을 통해 맞춤형
진료를 받아보시길 바랍니다. 오늘도 글 읽어주셔서 감사드리며 마치도록 하겠습니다.
김정은 원장이었습니다. ^^
치료기간 : 24.06.07 ~ 26.02.04
