『“윗니 혹은 아랫니만
부분 교정이 가능할까요?”』
이와 같은 궁금증은
제가 상담 때도 정말
많이 받는 질문 중 하나입니다.
틀어짐이 심하지 않은 경우라면
‘부분교정’을 통해 간편하고 빠르게
치료해 볼 수 있습니다.
다만, 부분교정은
앞니 혹은 작은 어금니까지 6~8개 정도만
배열하는 간단한 방법이므로
치아의 전체적인 교합을
개선하기는 어렵습니다.
그러므로 해당 방식을 진행해도
무리없는 교합 관계를 가지고 있는지
꼼꼼하게 확인하고 진행하는게 좋겠죠?
오늘은 앞니 전치부 아랫니 틀어짐 관련하여
의학 정보성 포스팅을 진행하려 합니다.
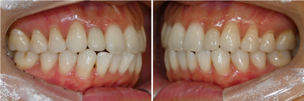
삐뚤빼뚤 거슬리던 아랫니


먼저 상악과 하악 교합면을 보겠습니다.
위쪽은 대체적으로 고르게 배열되어 있습니다.
그러나 아래 앞니를 보셨을 때,
다소 불규칙한 배열임을 알 수 있습니다.
다행스러웠던 부분은 심하게 틀어지지 않았기에
충분히 부분교정 방식으로 해결해볼 수 있습니다.
※ 참고할 사항으로 치열의 상태에 따라
윗니 혹은 아랫니만 부분교정을
진행할 수 있는데요.
사실, 위쪽이든 아래쪽이든
어느 한쪽만 진행하더라도
중요한 것은 바로 ‘교합’입니다.
앞니든 어금니든 잘 맞물려야
음식을 섭취하는데 문제가 없습니다.
또한, 식사 후 찌꺼기가 자주 남아서
충치, 치주질환을 유발할 가능성이 높아집니다.
그렇기 때문에 치열이 어떻는지,
다른 부정교합은 없는지 확인하는 과정이 필요합니다.

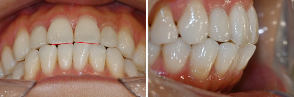
체크했을 때 어금니쪽은
배열이 좋고 잘 맞물리는 편입니다.

그러나 앞니는 절단면끼리 일자로
타이트하게 맞물리는 3급 부정교합인
절단교합 직전에 이르는 상태였습니다.
절단교합은 치아의 마모와 균열을
발생시킬 가능성을 높입니다.
또, 지속적으로 과한 힘을 받다보니
뿌리가 흡수되거나
잇몸과 치조골이 내려갈 수 있습니다.
그 결과, 치주질환의 발생률을 높이는 원인이 되는데요.
이런 문제는 근본적 원인을 개선하는 게 중요합니다.

엑스레이로 내부 정밀 검사를 시행하며
교합 부분까지 꼼꼼히 체크해줍니다.
진행


개선이 필요한 위치에 장치를 부착합니다.
간혹 장치가 눈에 띄어 불편하다는 경우도 있는데요.
그때는 치아와 비슷한 색을 띄는 브라켓으로,
얇은 철사를 이용하게 된다면
심미적 문제를 개선할 수 있습니다.
짧은 기간 내에 끝난다 하더라도
심미성을 같이 가져가고 싶다면,
꼭 담당의에게 의견을 전달하셔야 되며
충분한 상담을 통해 결정을 내리는 게 좋습니다.
종료
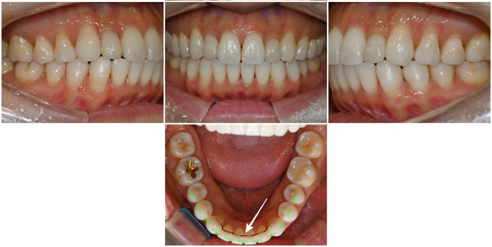
부분교정 치료가 끝나고 나서
가지런한 치열로 제자리를 찾아갔습니다.

이제는 어느 방향에서 보더라도
윗니가 아랫니를 살짝 덮고 있습니다.
원래 있어야 될 위치에 되돌려 놓으면서
치아 안쪽에는 재발 방지를 위한
얇은 철사(고정식 유지장치, fixed retainer)를
부착해뒀음을 확인할 수 있습니다.

마지막으로 엑스레이 촬영을 통해
마무리 점검까지 꼼꼼히 하면 끝납니다.
사소하게 틀어져 있다 할지라도
오래 방치할수록 조금씩 틀어질 수 있습니다.
이가 틀어지면 틀어질수록
충치, 치주질환이 나타날 확률이 높아지고,
구강 상태를 건강히 유지하기 어려워집니다.
현재 틀어짐으로 인하여 불편함을 겪고 있다면
한 번쯤 검진을 받아볼 것을 권장합니다.
.

