『임플란트를 해야되는데
공간이 부족하다면?』
어금니를 발치하고 오랜기간 방치하면
주변 치아들이 빈자리 쪽으로 기울게 됩니다.
이런 경우 임플란트 보철물을 올리기에
공간이 부족하여 수술에 어려움을 겪게되죠..
『이럴 때는 치아 이동을 목적으로 하는
교정치료를 통해서 임플란트 식립 예상
공간을 만들 수있습니다,』
오늘은 임플란트 식립을 위해
부분교정을 진행한 사례를
설명드리겠습니다.
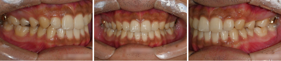
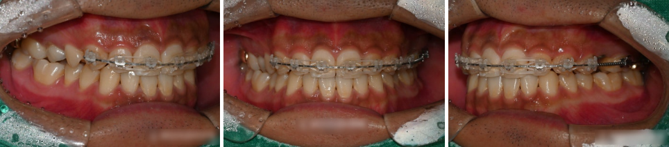
『1. 발치된 작은 어금니』

내원 당시 사진
언뜻 봤을 땐 치열이 고른편이라
‘교정이 꼭 필요한가?’ 싶을 수 있지만,
이 환자는 다른 부분이 있습니다.

당시, 위쪽 어금니 하나를
일찍 상실하여 임플란트 식립 예정인
상황이라는 점입니다.
그러나 이 상태가 꽤 오랜기간
방치가 되었는지 앞 어금니가 이동되면서
발치 공간이 줄어든 상태였습니다.
(이것이 바로 빠진 치아 자리를
장기간 방치하면 안되는 이유입니다.)
임플란트 보철물이 들어갈 수 있도록
공간확보가 필요했는데,
이럴 땐 크게 두가지 방법이 있습니다.
『1. 인접치아 삭제
(신경치료 후 보철치료)
2.부분 교정』
가능한 경우, 치아를 삭제하지 않고도
공간을 확보할 수 있는
2번 부분교정 방법을 권장드립니다.

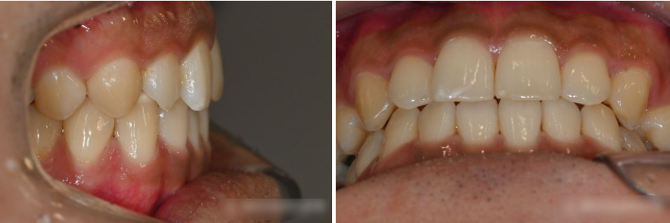
『임플란트 식립을 위한 부분 교정』
부분 교정을 진행하는 과정에서는
어금니 뿐만 아니라 다소 틀어진 앞니까지
함께 포함하여 이동시켰습니다.

꼭 치료가 필요한 치아들에만 브라켓을 부착하여
불편함을 최소로 하고 배열하던 모습입니다.

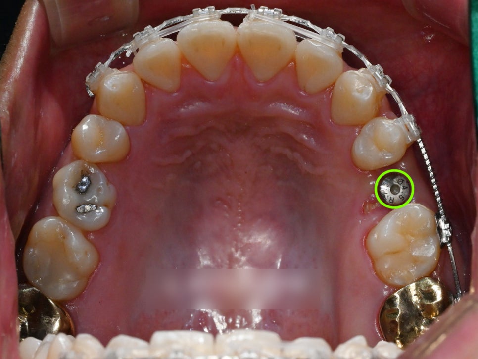
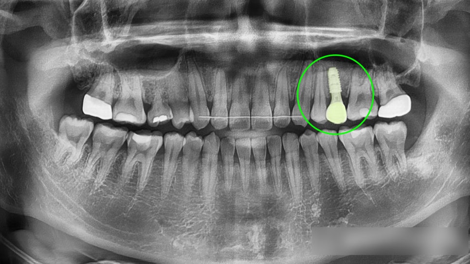
상봉동 교정치과 의 치료가 마무리가 되는 시기에
임플란트의 나사를 식립하는
방향으로 치료계획을 세웠습니다.

중간에 엑스레이 촬영으로
치아들의 반응을 살펴주며
안전하게 배열했습니다.
크게 문제가 되는
부분은 없습니다.

치아가 원활하게 이동되어
확보된 자리로 임플란트
수술을 진행했습니다.
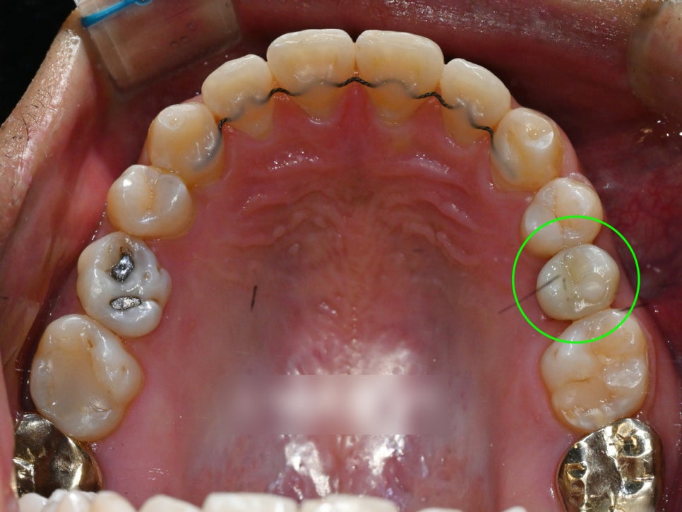
그리고 식립을 해둔 상태에서
잇몸 위로 나사 뚜껑(힐링어버트먼트)을 올려
잇몸이 올바르게 형성될 수 있는
환경을 만들었습니다.

이렇게 임플란트가 잘 식립되었어도,
잇몸뼈와 유착되는 기간이 어느정도 필요합니다.
또한 이상적인 크기와 형태의
임플란트 보철이 들어갈 수 있도록 하기위해
치아교정은 계속 진행했습니다.
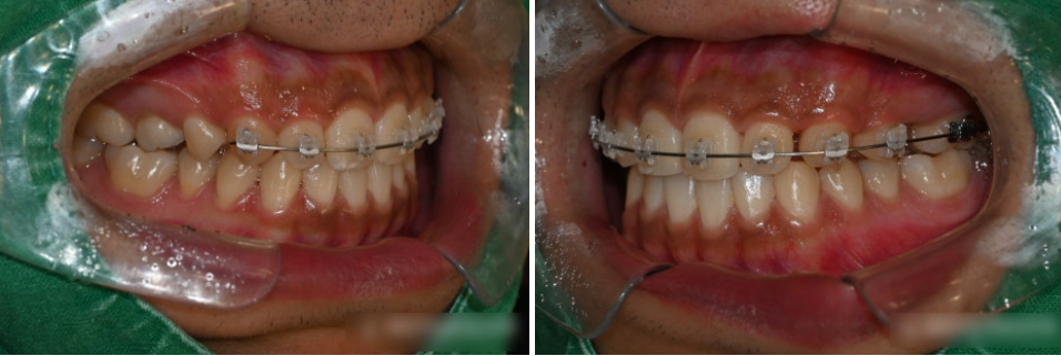
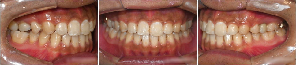
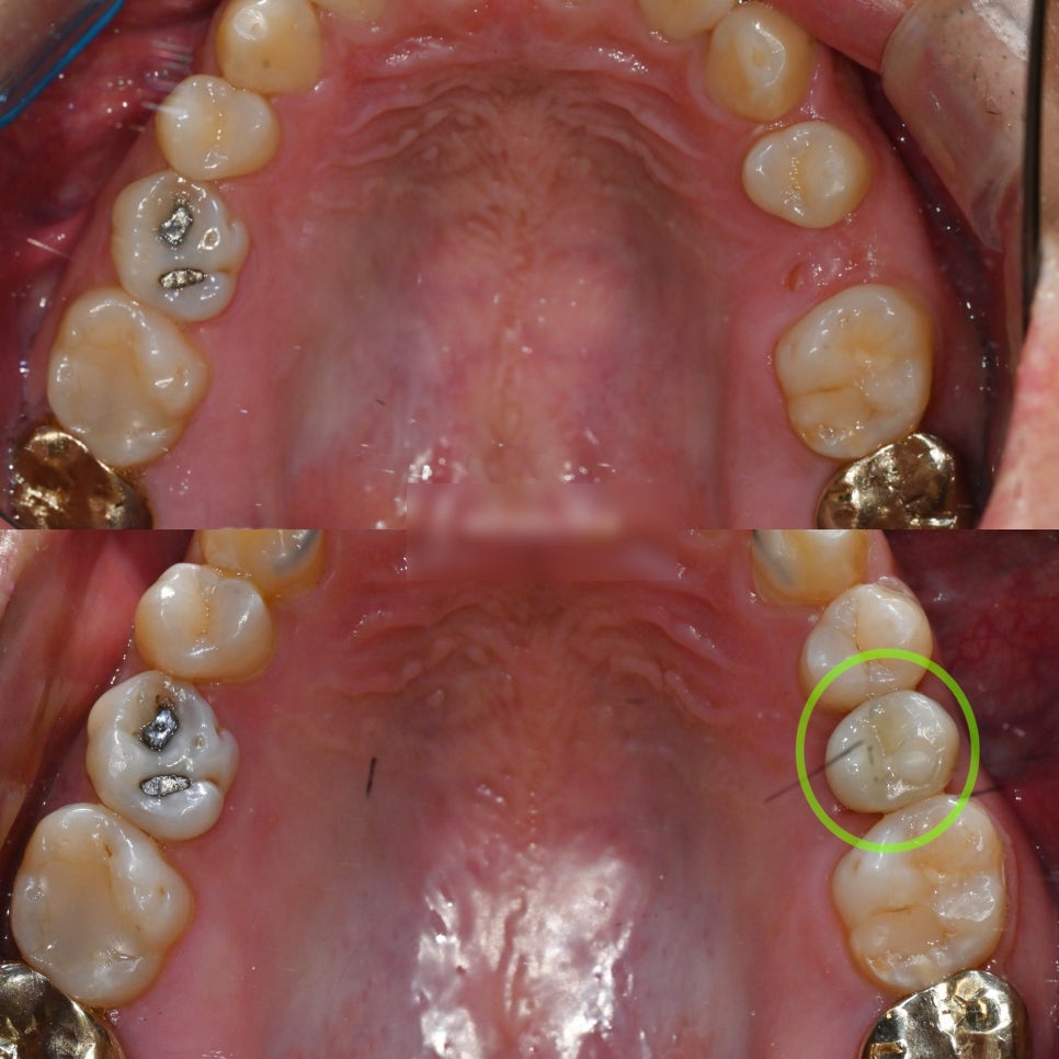
『치료 후』
부분교정과 임플란트 수술을 마친 후 모습입니다.

치아를 이동시켜 공간을 만드는
부분교정은 비교적 빠르게 마무리되었습니다.
그와 동시에 앞니도 가지런히 배열 완료되었습니다.


처음엔 좁았던 발치 공간이
제대로 확보되면서
지르코니아 보철(크라운)이 계획대로
예쁘게 잘 들어간 모습입니다.
이번 케이스처럼
치아가 없는 상태를 장기간 방치하면
주변 치아에 영향을 주기 때문에
추가적인 치료가 필요할 수 있습니다.

『만약 치아가 쓰러지거나
이동되어 임플란트가 예정된
공간이 줄어들게 되었다면,
‘부분교정’도 치료 방안 중 하나로
고려해보시길 바랍니다.』
