안녕하세요, 교정과 전문의 김정은입니다.
어른들 중에서도
어릴 적 사용하던 유치가
그대로 남아있으면서,
영구치의 맹출 장애를 보이는
환자분들이 간혹 계십니다.
거두절미하고 예시사진으로 바로 넘어가 볼까요?

치료기간 : 23.06.11 ~25.01.12

23.06.11
파노라마에서 오른 쪽 위를
자세히보면 유치가 남아있고,
제 2소구치(작은 어금니)가
올라오지 못하는 모습을 볼 수 있습니다.
보통 영구치가 맹출될 때,
유치의 뿌리가 자연스럽게 흡수되며
이로 인해 유치가 흔들리다
빠지는 과정으로 교체됩니다.
그러나 영구치가 제대로 된 방향으로
맹출하지 못하면(이소맹출)
유치의 뿌리를 제대로 녹이지 못하면서
‘유치 만기 잔존’ 증상이 발생하게 됩니다.

23.06.11
다행히 이번 케이스 에서는 위어금니 간 폭경과
아래 어금니 간 폭경의 비율은 정상이었습니다.

23.06.11
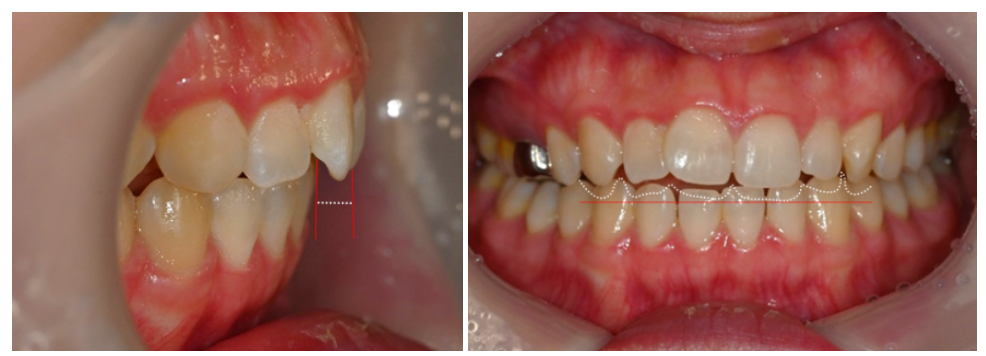
단, 과도한 수평피개 & 부족한 수직피개로
윗니가 아랫니를 충분히 덮지 못하는
개방교합(open bite)을 보이고 있던 상태입니다.

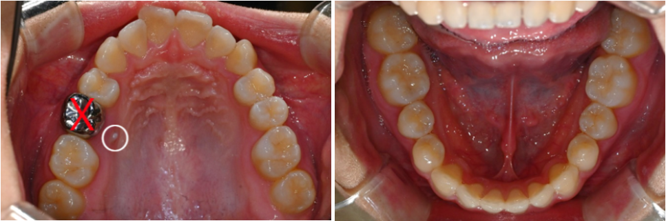
입천장 쪽으로 매복된 영구치의 일부가
관찰되었는데요.
만약 영구치가 아예 없는 결손상태라면
남아있는 유치를 영구치를
가능한 오래 쓰는 것이 좋지만,
이후로 올라올 계승치가 있다면
잘못된 자리로 위치한 영구치를
올바른 자리로 이동시키는 게 좋겠죠?
유치 발치 후 매복된 영구치(# 15번)를
맹출 유도, 정상적인 배열을 도모하여
개방교합을 개선시키고
정상적인 어금니 교합을 만드는 것을
치료의 목표로 설정하였습니다.
『Q. 교정하면 잇몸이랑 뿌리 쪽이
약해진다던데.. 괜찮나요?』

치아 뿌리는 ‘치근’이라고 하며,
어떠한 이유로 짧아지는 현상을 ‘치근 흡수’라 부릅니다.
이 ‘치근 흡수’는 치아교정에서 나타날 수 있는
대표적인 부작용으로, 과학적으로 입증된 사실인데요.
치근 길이가 선천적으로 짧거나 형태가 비정상적인
흡수가 과도하게 일어나는 경우도 있기 때문에,
이동 과정에서도 조금 더 신경을 써야됩니다.
따라서 위와 같은 정밀검사를 통해 유심히 살펴보고
분석해야되는 부분 중 하나입니다.

23.06.11
부정교합을 맞추기 위해
2개의 상악 스크류 식립을 동반한
비발치 교정을 계획했으며,
교정 후 기존 안모 변화는 크지 않을 것으로 예상됩니다.
※ 치료기간은 영구치 맹출 속도에 따라 달라질 수 있습니다.



23.06.11 ~ 25.01.12
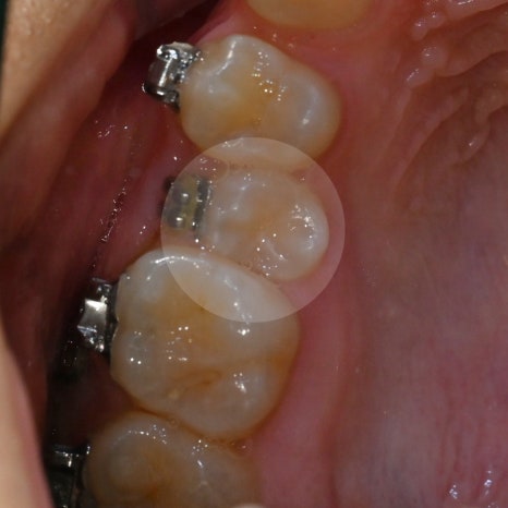
매복되어있던 작은 어금니가
잇몸 위로 조금씩 모습을 드러내던 과정입니다.

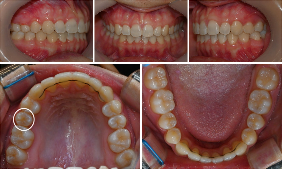
25.01.12
치료 후에는 어금니 뿐만 아니라 앞니 관계까지
좋아진 모습으로, 정상교합을 되찾을 수 있었습니다.
유치 잔존에 의한 이소맹출 같은 경우는
유치를 적절한 시점에 발치해주면
쉽게 해결 가능한 문제입니다.
단, 발견이 늦어 매복되어 버린다면
교정장치를 통한 견인 작업으로
영구치를 올바른 위치에 돌려놓아야 됩니다.
따라서 유치에서 영구치로
활발하게 교환되는 어린아이들은
영구치가 제 때 잘 나고 있는지
3~6개월 마다 한번씩 정기검진을
받아보는 것이 좋겠습니다.
교정과 전문의 김정은이었습니다.
감사합니다!^^
