교정치료를 진행했음에도,
여러가지 이유에 따라서
결국 치열에 다시 총생이 생겨
재교정치료가 필요한 경우가
생길 수 있습니다.
이런 경우 어떤식으로
다시 치료를 할 수 있는지,
오늘의 포스팅으로
의학 정보를 전달드리려 합니다.
1. 진단
재 교정치료의 경우,
이미 한번 치료를 겪었던 환자라서
조금 더 진단을 심사숙고 해야 됩니다.

사진을 보면 얼굴 정면과 측면에서 보았을 때
큰 문제점들을 찾아보기 힘들었습니다.
그러나 활짝 웃었을 때 약간의 입술 비대칭이
존재한다는 것을 알 수 있습니다.
이렇게 가상의 선을 그으면,
비대칭의 여부나 균형 등을
한 눈에 확인할 수 있습니다.
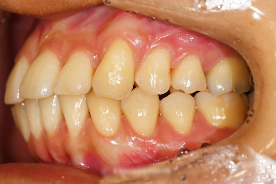
이어서 구강 내 사진을 보여드립니다.
우선 하악부터 살펴보면
가운데 중심을 기준으로 하여
오른쪽 송곳니 부분으로 중심이
쏠려있다는 양상을 보여줍니다.
이전에 붙여둔 유지 장치 retainer를
붙여둔 안쪽이 훤히 다 드러날 정도로
무언가 배열이 틀어졌음을 알 수 있습니다.

위쪽에서는 큰 특이사항은 없어 보이나
위아래 맞물리는 관계에서 보았을 때는
이로 인해 고쳐야 될 부분들이 발견 됩니다.
오른쪽 아래 43번 송곳니를 기준으로
맞닿는 위쪽과의 관계를 보면
앞니 교합이 떠있는 것이 확인 됩니다.

이렇게 맞지 않는 앞니 교합을 가질 경우에는
추후 생길 수 있는 네거티브들이 많습니다.

특정한 치아에 교합력이 몰리게 되며,
이에 따라서 특정 치아의 수명이
급격히 짧아지는 부작용을
초래할 수 있습니다.
조금 더 나아가 TMJ(턱관절)에도
부정적 영향을 줄 가능성이 있습니다.
상기 촬영 사진에 따라서
근거 기반의 진단을 실시할 수 있습니다.
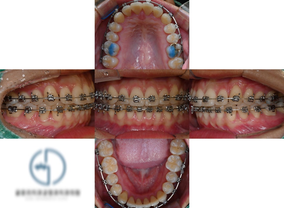
2. 장치 부착

전체적인 치열의 이동이 개선이
되어야 된다는 진단 결과에 따라
전체 치열에 장치를 붙여줍니다.
브라켓을 치면에 붙여 놓고
어금니 쪽에 파란색 레진을 올려
위턱과 아래턱 사이의 교합을 수정해 나갑니다.

이러한 과정들을 통해 빽빽한 곳과
어긋난 이 사이들을 가지런하게
배열할 수 있는 공간을 만드는 역할을 하며
필요에 따라 중간에 제거하기도 합니다.
진료 중간 중간 촬영한 f.u 사진들 입니다.
진단 결과에 따라서 조금씩
치열이 개선 되는 것을
확인 할 수 있습니다.

이렇게 재교정의 경우에는 큰 단위보단,
작은 단위에서 조금 더 세심한 조정이
필연적 입니다.

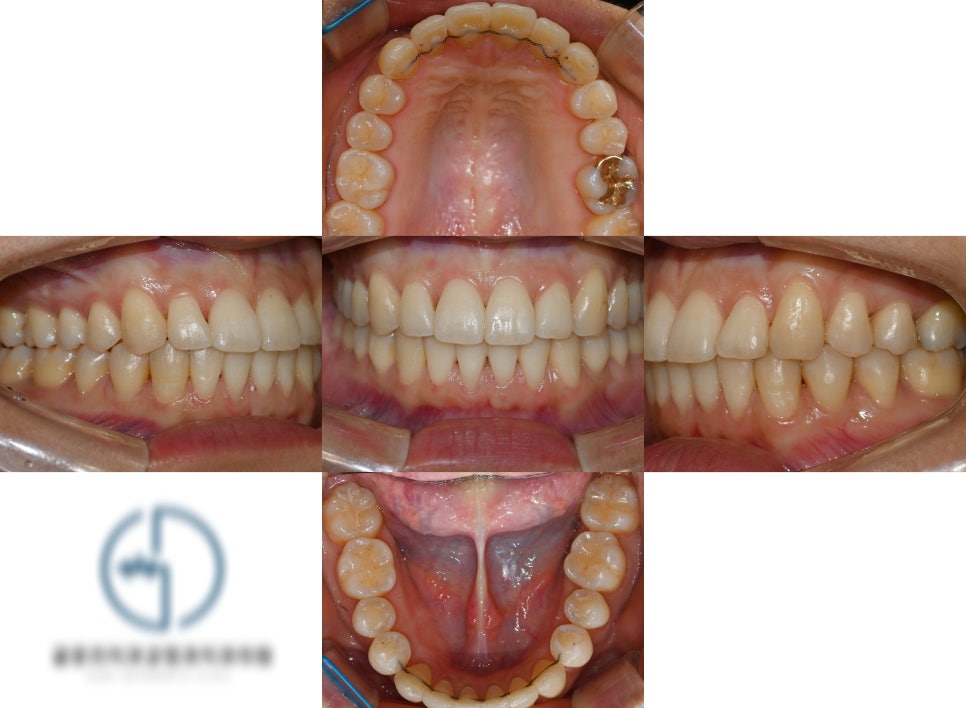
치료가 종료되면서 말끔히 해결된
모습을 볼 수 있습니다.
글 초반부에 보여드렸던 사진에서
볼 수 있었던 특정 부위에서
교합이 닿지 않는 곳 또한
정상 교합으로 바뀌었습니다.

동시에, 치열이 흐트러지는 것을
최소화 할 수 있는 유지장치까지
같이 제작하여 붙여줍니다.
더불어 정기검진의 중요성도
같이 안내를 드리면 끝납니다.

치료 기간: 23.10~25.01
