『임플란트 치아교정
두 가지 같이 진행할 수 있나요?』
가끔 저희 중화동 치과 로
이러한 문의를 주시는 환자들께서 계십니다.
어떤 치료를 먼저 진행하는 것이 맞을지
고민이 많으실 텐데요.
오늘 글로리 에서 설명드리는 내용을 토대로
치료 방향에 큰 도움이 되길 바라며
설명을 시작하겠습니다.^^
『1. 임플란트 교정』

타원에서 임플란트 치료를 진행 중이신
50대 환자께서 저희 중화동 치과 로
소개를 받아 찾아오셨습니다.
이전에 오른쪽 아래 어금니 쪽으로
염증이 크게 생겨 뽑은 직후
시간을 내기가 어려워 치료를 미루다가
이제서야 수술을 받으셨다고 하셨는데요.
수술하는 곳에서 윗니가 정출되어
아래로 내려와 조치가 필요하다고
듣게 되셨다 하셨습니다.
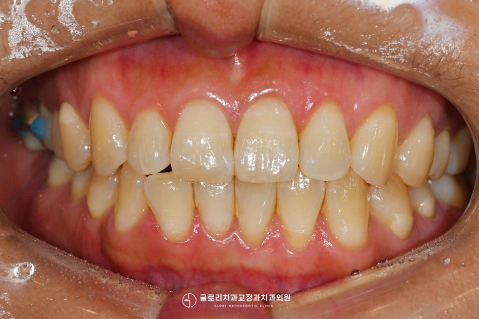
환자께서 말씀하신 내용을 토대로
먼저 엑스레이를 천천히 살펴보았습니다.
엑스레이에서도 보실 수 있듯이
오른쪽 아래 치조골 속으로
박혀 있는 임플란트의 인공치근을
관찰할 수 있었는데요.
그곳 바로 위 대합 되는 곳에는
어금니 두 개 무언가로 연결해둔 것 또한
확인할 수 있었습니다.
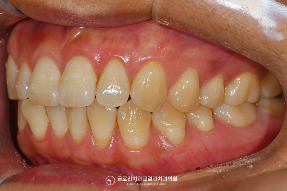
연결해둔 곳을 정확히 확인하기 위해
구강 내를 천천히 둘러보았습니다.
위치는 오른쪽 위 구치부로
아래쪽과 대합이 되는 곳에
철사로 연결을 해두었는데요.
이렇게 철사로 두 개 구치부를 연결해둔 이유는
치아 정출 때문이었습니다.
『치아 정출이란
이렇게 아래 대합 되는 이가 없을 경우
본래 위치에서 벗어나
더 많이 자라 나온 형태를 말하는데요.』
특히 임플란트 크라운을 제작할 경우
배열과 교합에 문제를 만들어 낼 수 있어
그에 맞는 조치가 필요합니다.

간혹 교합 불균형이 이루어질 때에는
제작을 완료한 뒤,
제대로 식사를 하지 못할 뿐만 아니라
턱관절에 문제가 생겨
통증을 호소할 수 있습니다.
그렇기 때문에 우리가 살아가는 데 있어
정확한 교합을 맞추는 것은
필수적인 부분인데요.
저희 중화동 치과 에서 어떻게
개선을 도와드렸을지
지금부터 과정을 설명해 드리겠습니다.^^
2. 어금니 부분교정
이외에도 다른 곳들은
문제가 없는지 살펴보았습니다.

구강 전반으로 조금씩 틀어짐이나
총생 문제들은 찾아볼 수 있었지만,
환자께서는 딱 이곳만 개선 받길 원하셨는데요.
이러한 의견을 수렴하여
저희 중화동 치과 에서는 어금니 부분교정을
도와드리기로 했습니다.
말 그대로 구치부에 부분만
배열을 개선하는 방법으로
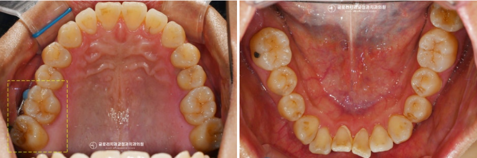
아래로 내려와 있는 17번을
치아 함입으로 당기는 과정을 시행할 예정인데요.

치아 함입은 정출과 반대되는 개념으로
본래 위치로 다시 깊이 넣어
교합의 안정성을 주기 위해 진행이 됩니다.

이 방법도 마찬가지로 치면에 브라켓을 달고
배열을 이동시켜 안으로 다시 넣는 단계를
거치게 되는데요.
뺨 쪽으로 닿는 치면에는 브라켓을 붙이고
구개면과 가까운 곳에는
버튼을 부착했습니다.
이 과정을 통해 잇몸에 미니 스크류라는
작은 나사를 박아 견인을 도왔는데요.
미니 스크류는 인체에 무해한
티타늄 재질로 만들어진 나사로
이렇게 잇몸 뼈에 직접 박아
견인을 돕습니다.
구개면쪽에 식립을 시행했기 때문에
조금의 이물감은 들 수밖에 없는데요.
통증은 며칠 내로 사라지며,
경과에 맞춰 제거를 시행합니다.

이렇게 미니 스크류와 구개면에 부착한 버튼에
파워 체인을 연결하여 함입을 도왔는데요.
이 과정을 통해 얼마나 개선이 되었을지
살펴보겠습니다^^
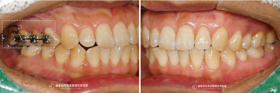
『3. 시행 완료』
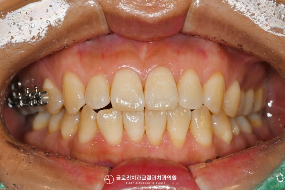
중화동 치과 에서 진행한 어금니 부분교정은
10개월이 소요되었습니다.
아무래도 정출이 어느 정도 잡힌 뒤에
implant 보철 과정을 들어가야 됐기 때문에
신속하게 진행이 될 수 있도록
신경 써서 도와드렸습니다.

하방으로 쭉 내려와 있던 27번도
함입으로 개선해 속으로 잘 들어간 모습인데요.
또한 구개면에 식립해두었던 미니 스크류도
안전하게 제거하여 이제는
편하게 생활하실 수 있으실 겁니다^^
새로 맞춰진 배열에 대합 되는
크라운 제작까지 완료되어
오른쪽으로 편하게 식사할 수 있어
마음에 드신다 하셨는데요.
이렇게 구치부 배열 개선만으로도
implant 치료를 도울 수 있어
신속하고 좋은 결과를 볼 수 있었습니다.
저희 글로리 에서 시행한 여러 케이스들은
하단 링크를 참고하시고,
문의 사항은 중화동 치과 로 연락 주시면
설명 도와드리겠습니다.

치료 기간: 23.11~24.09
