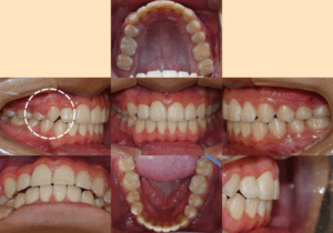
심한 송곳니 덧니(high canine), 전문의가 있는 중화동 치과 에서는 어떻게 개선을 도와드렸을까?

『중화동 치과 김정은 원장입니다!』 예전에는 덧니로 인해 귀여움과 애교가 묻어나는 시기가 있었는데요. ​ 요즘에는 거의 대부분 가지런하고 고른 치열을 원하고 계시기에 교정에 대한 관심도 날이 갈수록 늘어나고 있는 요즘입니다. ​…

Continue Reading심한 송곳니 덧니(high canine), 전문의가 있는 중화동 치과 에서는 어떻게 개선을 도와드렸을까?

상봉동 치과 사랑니 발치로 공간 확보 후, 아래턱 후방이동을 도왔던 케이스

반대교합이 아니더라도, 아래턱이 발달된 분들을 보면 거의 대부분 윗니와 아랫니가 맞붙어 있는 절단 교합을 갖고 있습니다. ​ 원래는 윗니가 아랫니를 덮어야 되지만 아래턱이 튀어나옴으로써 덮지 못하고 딱 붙어 맞물리게 되는…

Continue Reading상봉동 치과 사랑니 발치로 공간 확보 후, 아래턱 후방이동을 도왔던 케이스

이전에 앞니 신경치료를 받았는데 교정을 할 수 있을까요? 망우동 치과 에서 알려드리겠습니다

안녕하세요, 글로리의 김정은 원장입니다. 오늘은 많은 분들이 궁금해하실만한 주제에 대해 함께 얘기를 나눠보려 하는데요. 『바로 신경치료를 받았던 곳도 교정을 진행할 수 있는가!입니다.』 신경치료(endo, 근관치료)는 충치나 치주 질환 등으로 인해 감염…

Continue Reading이전에 앞니 신경치료를 받았는데 교정을 할 수 있을까요? 망우동 치과 에서 알려드리겠습니다

망우역 치과 교정과 전문의 대표원장의 1:1 책임 진료 케이스, 심한 총생 및 과개교합 개선 증례

따스한 봄이 시작된 후 치아 교정 상담을 위해 망우역 치과 를 내원하는 분들도 늘고 있습니다ㅎㅎ ​ 오래 미뤄왔던 치료를 받으러 오는 분들도 계시고 취업이나 결혼 등 중요한 일을 앞두고 상담을…

Continue Reading망우역 치과 교정과 전문의 대표원장의 1:1 책임 진료 케이스, 심한 총생 및 과개교합 개선 증례

어금니 상실, 중랑구 치과 사랑니 견인 교정으로 올바른 위치에 끌어쓸 수 있을까?

중랑구 글로리 교정 치과 김정은 원장입니다! ​ 오늘은 어금니 상실로 인해 저작에 불편함을 겪고 계시던 환자분의 얘기를 소개해 드리려 합니다ㅎㅎ ​ 이분의 경우 제1대구치의 상실로 어금니 자리가 텅 비어져 있었는데요.…

Continue Reading어금니 상실, 중랑구 치과 사랑니 견인 교정으로 올바른 위치에 끌어쓸 수 있을까?

면목동 치과 추천 덧니 치아교정 과정, 발치교정 당기기로 앞니 치열 개선

덧니는 많은 사람들이 겪는 문제 중 하나로, 단순히 외모 문제를 넘어서 구강 건강에도 영향을 미칠 수 있는데요! ​ 오늘 면목동 치과 추천 글로리 에서 덧니 치아교정의 필요성과 과정에 대해 설명해…

Continue Reading면목동 치과 추천 덧니 치아교정 과정, 발치교정 당기기로 앞니 치열 개선

어린이 부정교합 교정 RPE 구개확장장치로 교차교합 개선 완료 신내동 치과

『우리 아이 치열 이대로 괜찮을까?』 많은 보호자들께서 깊은 우려를 가지고 저희 신내동 치과 로 찾아오십니다. ​ 오늘 설명해 드릴 케이스는 어린이 부정교합 교정과 관련된 증례에 대하여 소개해 드리겠습니다. 1. 아직…

Continue Reading어린이 부정교합 교정 RPE 구개확장장치로 교차교합 개선 완료 신내동 치과