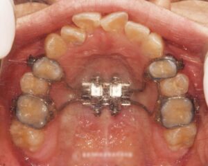
중화역 신내동 교정치과 ‘치아 개수가 모자란 선천적 결손치, 어떤 방법으로 개선을 도왔을까?’

선천적 결손치 중화역 신내동 교정치과 보통 28개의 치아가 나와야 되는데요. 영구치가 정상적으로 맹출되지 않아 개수가 모자란 것을 말합니다. ​ 과잉치보다 빈번하게 발생하는 편이며 상,하악 관계 없이 나타나곤 하죠. 보통 제…

Continue Reading중화역 신내동 교정치과 ‘치아 개수가 모자란 선천적 결손치, 어떤 방법으로 개선을 도왔을까?’

치아 총생(crowding)으로 인한 콤플렉스, 망우동 교정치과 에서 해결할 수 있을까?

반갑습니다, 여러분! 망우동 교정치과 김정은 원장입니다. ​ 첫인상은 보통 3초 내지 5초 안에 결정된다 합니다. 여러분들은 처음 상대방의 얼굴을 볼 때 눈길이 어디로 먼저 가시나요? ​ 아무래도 대화를 하기 위해…

Continue Reading치아 총생(crowding)으로 인한 콤플렉스, 망우동 교정치과 에서 해결할 수 있을까?

어금니가 어긋난 가위교합(sissors bite) 방치하면 턱관절에도 영향을?! 면목동 교정치과

『반갑습니다, 면목동 글로리 교정치과 김정은 원장입니다.』 오늘 소개해 드릴 케이스는 하나의 문제가 아닌, 여러 문제들을 복합적으로 갖고 있었던 환자의 스토리인데요. ​ 치료를 시작해야 될지 고민이 참 많으셨던 분입니다. 과연 어떤…

Continue Reading어금니가 어긋난 가위교합(sissors bite) 방치하면 턱관절에도 영향을?! 면목동 교정치과

여기저기 배열에서 벗어난 치아들, 망우동 치과 발치 교정으로 2년 만에 개선!

교정도 시기에 맞게 적절한 치료 계획을 세워야 보다 더 좋은 결과를 기대해 볼 수 있습니다. 그전 정밀한 검진이 먼저 선행되어야 되는데요. ​ 저희 망우동 글로리 치과 에서는 교정학 박사 학위…

Continue Reading여기저기 배열에서 벗어난 치아들, 망우동 치과 발치 교정으로 2년 만에 개선!

“삐뚠 앞니 때문에 양치를 하는 게 힘들어요.” 치열 개선을 통해 구강 위생까지 개선 완료! 상봉동 교정치과

반갑습니다~ 상봉동 글로리 교정치과 김정은 원장입니다! 『여러분들께서는 평소에 위생관리를 잘 하고 계시는 편인가요?』 하루 3번, 구석구석 꼼꼼하게 청소를 해도 치아 배열에 따라 미처 제거되지 않은 음식 찌꺼기나 이물질이 남아있는 경우도…

Continue Reading“삐뚠 앞니 때문에 양치를 하는 게 힘들어요.” 치열 개선을 통해 구강 위생까지 개선 완료! 상봉동 교정치과

덧니 때문에 발생하는 문제는 어떤 것들이 있을까? 중랑구 양원역 치과 치아교정 증례

삐뚠 치열로 고민을 갖고 있는 분들 중 '덧니' 때문에 고민을 갖고 있는 경우가 정말 많은데요. 외적 콤플렉스 말고도 여러 문제들의 원인이 될 수 있습니다. ​ 환자의 진료 과정을 살펴보기 전,…

Continue Reading덧니 때문에 발생하는 문제는 어떤 것들이 있을까? 중랑구 양원역 치과 치아교정 증례

“이가 너무 삐뚤빼뚤 해요.” 망우역교정치과 30대 치열 개선 케이스

삐뚤빼뚤한 치아는 음식 찌꺼기가 잘 끼고 양치질이 어렵기 때문에 입 냄새가 유발되기도 하고 충치, 치주 질환의 확률 또한 높아집니다. 가지런하지 않은 치아는 구강관리에 정말 큰 어려움을 주곤 하는데요. ​ 오늘은…

Continue Reading“이가 너무 삐뚤빼뚤 해요.” 망우역교정치과 30대 치열 개선 케이스

치료 중간에 계획이 바뀌었다?! 면목역교정치과 치아 총생 및 돌출입 개선 증례

『반갑습니다, 면목역교정치과 글로리의 김정은 대표원장입니다.』 치열 개선 치료는 환자의 상태, 구강구조, 의료진의 주관적인 판단에 따라 계획이 천차만별로 달라지게 됩니다. ​ 치료를 진행하던 중에도 예기치 못한 상황에 의해 계획을 변경하는 경우가…

Continue Reading치료 중간에 계획이 바뀌었다?! 면목역교정치과 치아 총생 및 돌출입 개선 증례

회전된 앞니, 교정과 전문의가 있는 상봉동 치과 에서 어떻게 치료를 도왔을까?

『가운데 있는 중절치가 회전되어 있고 기울어져 있다면 보기 좋을까요?』 안타깝지만 고른 치열에 비해 좋지 않은 이상을 줄 수밖에 없습니다. ​ 특히나 눈에 잘 띄는 곳에 위치해 있어 스스로 위축되거나 치열을…

Continue Reading회전된 앞니, 교정과 전문의가 있는 상봉동 치과 에서 어떻게 치료를 도왔을까?