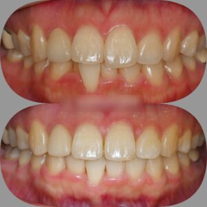
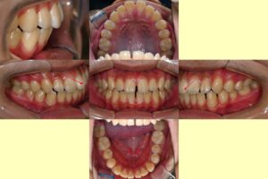
상봉동 교정치과 과개교합 및 총생 개선으로 올바른 교합 형성하기
✅ 삐뚠 치아 때문에 발음이 부정확하다. ✅ 웃을 때마다 나도 모르게 입을 가리게 된다. ✅ 입을 편하게 다물기가 힘들다. ✅ 음식을 먹을 때 어긋나서 물린다. ✅ 칫솔질을 할 때 모가…
✅ 삐뚠 치아 때문에 발음이 부정확하다. ✅ 웃을 때마다 나도 모르게 입을 가리게 된다. ✅ 입을 편하게 다물기가 힘들다. ✅ 음식을 먹을 때 어긋나서 물린다. ✅ 칫솔질을 할 때 모가…
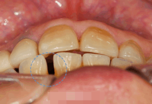
『안녕하세요, 김정은 원장입니다.』 오늘은 치아 사이가 벌어지고 앞니가 튀어나왔다며 오셨던 실제 환자분의 치료 과정을 소개해 드리려 합니다. "점점 나이가 들수록 더 심하게 벌어지는 것 같아요."라며 말씀을 해주셨던 환자분인데요. …
『반갑습니다. 중랑구치과 글로리 김정은 원장입니다.』 활짝 웃음을 지을 때 먼저 보게 되는 곳은 앞니입니다. 하지만 앞니 벌어짐이 생긴다면 웃음에 자신감을 잃고 말겠죠. 20.05.01 - 21.01.29 오늘 소개해 드릴…
『반갑습니다. 면목동치과 글로리 김정은 원장입니다.』 23.06.05 - 24.04.09 자 우리 모두 스마일 해볼까요? 치아까지 보이게 활짝 웃어보세요! 벌어진 앞니가 콤플렉스라 스마일이 힘드신 분 계실까요? 이런 앞니…
반갑습니다 여러분. 망우본동 치과 글로리 김정은 원장입니다! 생후 6개월부터 맹출 하기 시작하는 유치는 시간이 흐름에 따라 곧 빠지고 새 이로 교환을 합니다. 후속 영구치의 치배 여부는 엑스레이…
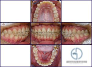
반갑습니다, 면목역 치과 글로리의 김정은 대표원장입니다. 교정이 필요한 순간들이 꽤 여럿 있습니다. 가지런하지 못한 치열을 가졌을 때도 있고, 때로는 맞지 않은 교합 관계의 문제, 그리고 뻐드러진 치열을 가질…
치아는 우리에게 ✅ 식사를 할 수 있도록 저작의 기능을 가지며, ✅ 정확한 발음으로 말을 할 수 있도록 도와줍니다. ✅ 또한 얼굴의 형태와 대칭을 유지하는데 중요한 역할을 합니다. …
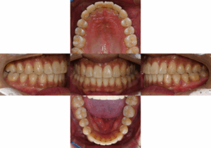
안녕하십니까, 망우역 치과 글로리 김정은 대표원장입니다. 『아름다운 미소에서 예쁜 치열은 필수 요소인데요.』 오늘은 전치부 재배열 후 아름다운 미소를 되찾은 사례의 치료 과정에 대해 설명해 드리도록 하겠습니다. 『1. 틀어진 앞니 교정』…
전체적으로 브라켓을 붙여 이를 이동시키는 치아교정은 비용뿐만 아니라 심리적 부담감도 따르기 마련입니다. 저희 글로리 신내동 치과 를 내원하시는 환자들께서도 마음은 먹고 오셨지만, 시작하기에 앞서 이런 걱정거리들을 얘기해 주시곤…