인비절라인 투명교정, 치아 재교정으로 가능할까? 면목동 치과

『안녕하십니까. 면목동 치과 글로리 김정은 원장입니다.』 관리 소홀이나 여러 이유들로 인해 치아 재교정을 생각하시는 환자께서 다수 계십니다. ​ 이런 경우 어떤 종류의 치료를 시작해야 될지 고민이 무척 되실 텐데요. ​…

Continue Reading인비절라인 투명교정, 치아 재교정으로 가능할까? 면목동 치과

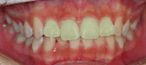
면목동 치과 틀어진 앞니(나비 치아)가 고민인 20대 환자, 상악골 확장 marpe 활용해 비발치 교정으로 도와드린 사례

안녕하세요^^ 글로리 김정은 대표 원장입니다. ​ 오늘은 많은 환자들께서 고민하고 계시는 부분인 "틀어진 앞니"에 대한 내용을 다뤄볼 예정인데요. ​ 저희 면목동 치과 에서는 어떠한 방법을 활용해 개선을 도와드렸는지에 대해 설명드리고…

Continue Reading면목동 치과 틀어진 앞니(나비 치아)가 고민인 20대 환자, 상악골 확장 marpe 활용해 비발치 교정으로 도와드린 사례

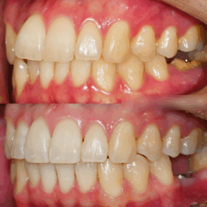
어금니에 임플란트를 심어놨어도 교정이 가능한가요? 중화동 치과

안녕하세요, 중화동 치과 김정은 원장입니다. ​ 오늘은 어금니에 임플란트가 심어져 있는 성인 교정 케이스에 대해 설명드리려 합니다. ​ 많은 분들이 상담을 오셔서 여쭤보는 질문 중 하나가, "치료를 받은 곳이 꽤…

Continue Reading어금니에 임플란트를 심어놨어도 교정이 가능한가요? 중화동 치과

보기 싫은 아랫니 이 사이 벌어짐, 부분교정을 진행하여 치아를 개선할 수 있을까?

『안녕하세요! 교정과전문의 김정은입니다.』 오늘 소개해드릴 의학 정보는 많은 분께서 고민하고 있으실 '이 사이 벌어짐' 입니다. ​ 간격이 좁다면 크게 신경쓰지 않을 겁니다. ​ 그러나, 눈에 띌 정도로 넓다면 자꾸만 개선하고…

Continue Reading보기 싫은 아랫니 이 사이 벌어짐, 부분교정을 진행하여 치아를 개선할 수 있을까?

앞니 뻐드렁니 및 총생 반대교합 등 다양한 문제가 있을 때 교정치료 어떻게?

입을 열었을 때 치열이 어지럽게 놓여있다면 여러모로 신경이 쓰이게 됩니다. ​ 외적으로 안 좋은 영향을 줄 뿐만이 아닌, 기능적 측면에도 악영향을 줘서 건강을 해칠 수 있습니다. ​ 비뚤어져 있는 치열을…

Continue Reading앞니 뻐드렁니 및 총생 반대교합 등 다양한 문제가 있을 때 교정치료 어떻게?

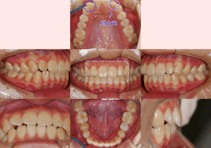
MARPE 악궁 확장을 통한 안면 골격 비대칭, 횡적 부조화(transverse discrepancy) 개선 과정

오늘은 진단이 다소 어려운 케이스인 '횡적 부조화'에 대한 내용을 설명해보려 합니다. ​ 전문적인 내용이라 살짝 이해하기 어려우실수도 있겠지만.. ​ 실제 케이스와 함께 최대한 쉽게 풀어서 설명드리도록 하겠습니다. 『불편하고 어딘가 불안정한…

Continue ReadingMARPE 악궁 확장을 통한 안면 골격 비대칭, 횡적 부조화(transverse discrepancy) 개선 과정

에스라인(S-Line) 치아교정 세라믹 자가결찰 브라켓에 관련 된 글, 면목역 치과 에서 작성하는 의학 정보글

심미의 기준은 사람마다 주관적입니다. 다만 공통 된 부분에 있어서는 '균형' 이 잡혀야 된다는 점입니다. ​ 치열 또한 그러한 얼굴의 균형에 큰 영향을 줄 수 밖에 없습니다. ​ 동시에 우리가 저작…

Continue Reading에스라인(S-Line) 치아교정 세라믹 자가결찰 브라켓에 관련 된 글, 면목역 치과 에서 작성하는 의학 정보글

혀내밀기 습관으로 앞니 사이 벌어짐 이? 비발치 교정 개선 과정

안녕하세요, 교정과 전문의 김정은 입니다. ​ 일부 부정교합은 잘못된 구강 습관에 의해 발생하기도 합니다. ​ 특히 혀내밀기 습관을 가진 환자들에게 앞니 사이 벌어짐 (치간 이개, spacing)을 쉽게 관찰할 수 있는데요.…

Continue Reading혀내밀기 습관으로 앞니 사이 벌어짐 이? 비발치 교정 개선 과정