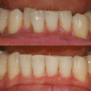
영구치 덧니 미니스크류 를 활용한 비발치 옥니 교정, 클리피씨 브라켓 활용 케이스

「 옥니란? 」 이가 혀 쪽으로 과도하게 기울어져 있는 상태를 일컫습니다. ​ 단순 비율로 보면 뻐드렁니가 더 흔하지만, II 급 부정교합 환자들 중에서는 옥니를 가진 사례도 종종 발견됩니다. ​ 발치…

Continue Reading영구치 덧니 미니스크류 를 활용한 비발치 옥니 교정, 클리피씨 브라켓 활용 케이스

삐뚤빼뚤한 치열 교정 비발치, 미니스크류 식립 케이스, 턱관절 검사

안녕하세요, 교정과 전문의 김정은입니다. ​ 오늘 제가 소개해 드릴 치료 과정은 삐뚤빼뚤한 치열 교정 에 대한 내용을 알려드리려 합니다. ​ 먼저, 비발치로 진료를 할 수 있는 경우와 그렇지 않은 경우에…

Continue Reading삐뚤빼뚤한 치열 교정 비발치, 미니스크류 식립 케이스, 턱관절 검사

성인 이소맹출, 어금니 반대교합 총생(덧니)가 있을 때 치아 교정

안녕하세요, 교정과 전문의 김정은입니다. ​ 모든 영구치가 알맞은 자리에 나오면 좋겠지만, 그렇지 못하고 제 위치가 아닌 자리에 자라날 때도 있는데요. ​ 이처럼 구강 속 정상적으로 나와야 될 영구치가 제 위치가…

Continue Reading성인 이소맹출, 어금니 반대교합 총생(덧니)가 있을 때 치아 교정

왜소치 교정, 라미네이트와 크라운 없이 치료한 사례, 보철치료를 했을 때와의 차이점은?

안녕하세요, 교정과 전문의 김정은입니다. ​ 오늘은 선천적으로 치아 크기가 작은 왜소치 를 보철 없이, 즉 라미네이트나 크라운 없이 교정적으로 해결한 사례를 소개 드리려고 합니다. 『 왜소치란? 』 말 그대로 정상적인…

Continue Reading왜소치 교정, 라미네이트와 크라운 없이 치료한 사례, 보철치료를 했을 때와의 차이점은?

절단 및 개방 교합, 주걱턱 고민, 수술 없이 비발치 치아 교정으로 해결한 케이스

안녕하세요, 교정과 전문의 김정은입니다. ​ 오늘 소개해 드릴 내용은 흔히 주걱턱이라 불리는 골격성 3급 부정교합에 대한 내용을 소개해 드리려 합니다. ​ “턱이 좀 나와 보인다”​는 얘기를 들어본 적 있으신가요? ​…

Continue Reading절단 및 개방 교합, 주걱턱 고민, 수술 없이 비발치 치아 교정으로 해결한 케이스

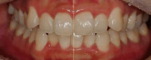
삐뚤빼뚤한 치아, 윗니가 아랫니를 많이 덮는다면? 비발치 교정으로 해결한 총생 & 과개교합 케이스

안녕하세요, 교정과 전문의 김정은입니다. ​ 오늘 제가 알려드릴 내용은 치료가 필요한 부정교합(malocclusion)은 도대체 무엇인가에 대해 알려드리면서 이와 관련된 케이스를 활용해 해결 과정을 소개해 드릴까 합니다. ​ 먼저, ​malocclusion에 대해 설명해…

Continue Reading삐뚤빼뚤한 치아, 윗니가 아랫니를 많이 덮는다면? 비발치 교정으로 해결한 총생 & 과개교합 케이스

임플란트 를 심고 싶은데 공간이 부족하다면? 비발치 치아 교정

안녕하세요, 교정과 전문의 김정은입니다. ​ 이가 빠지거나 부러졌을 때, “임플란트를 심어야겠다"라는 생각을 하시는 분들이 많습니다. ​ 그런데 실제로 내원해 검사해 보면, 이가 없던 자리에 인접치가 쓰러지거나 공간이 부족해져 있어, 픽스처를…

Continue Reading임플란트 를 심고 싶은데 공간이 부족하다면? 비발치 치아 교정

돌출입 교정, 과개교합까지 한 번에 할 수 있을까? 비발치 치아 교정 과정

안녕하세요, 교정과 전문의 김정은입니다. ​ 입술이 유난히 앞으로 돌출되어 웃을 때마다 앞니가 도드라져 보인다면, 단순한 치열 문제라기보다 골격적인 불균형까지 동반된 경우일 수 있습니다. ​ 오늘은 이와 관련된 예시 사진을 보면서…

Continue Reading돌출입 교정, 과개교합까지 한 번에 할 수 있을까? 비발치 치아 교정 과정